IRF3 antibody

Cat. No. GTX64358
Cat. No.  GTX64358
Anti-IRF3 antibody used in Western Blot (WB). GTX64358
GTX64358 WB Image

WB analysis of various sample lysates using GTX64358 IRF3 antibody.
Dilution : 1:3000
Loading : 25μg per lane

1 / 5
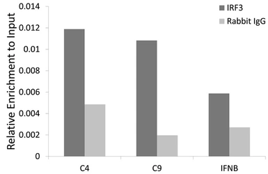
Anti-IRF3 antibody used in ChIP assay (ChIP assay). GTX64358
GTX64358 ChIP assay Image

ChIP analysis of HCT116 cell lysate using GTX64358 IRF3 antibody. The amount of immunoprecipitated DNA was checked by quantitative PCR. Histogram was constructed by the ratios of the immunoprecipitated DNA to the input.

2 / 5
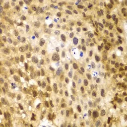
Anti-IRF3 antibody used in IHC (Paraffin sections) (IHC-P). GTX64358
GTX64358 IHC-P Image

IHC-P analysis of human esophageal cancer tissue using GTX64358 IRF3 antibody.
Dilution : 1:100

3 / 5
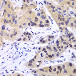
Anti-IRF3 antibody used in IHC (Paraffin sections) (IHC-P). GTX64358
GTX64358 IHC-P Image

IHC-P analysis of human lung cancer tissue using GTX64358 IRF3 antibody.
Dilution : 1:100

4 / 5
Anti-IRF3 antibody used in Western Blot (WB). GTX64358
GTX64358 WB Image

WB analysis of normal (control) and knockout (KO) HeLa cell lysate using GTX64358 IRF3 antibody.
Dilution : 1:1000
Loading : 25μg per lane

5 / 5
Anti-IRF3 antibody used in Western Blot (WB). GTX64358
Anti-IRF3 antibody used in ChIP assay (ChIP assay). GTX64358
Anti-IRF3 antibody used in IHC (Paraffin sections) (IHC-P). GTX64358
Anti-IRF3 antibody used in IHC (Paraffin sections) (IHC-P). GTX64358
Anti-IRF3 antibody used in Western Blot (WB). GTX64358
  • Host
    Rabbit
  • Clonality
    Polyclonal
  • Isotype
    IgG
  • Applications
    WB IHC-P ChIP assay
  • Reactivity
    Human
See all IRF3 products