IRS1 (phospho Ser1101) antibody

Cat. No. GTX32201
Cat. No.  GTX32201
Anti-IRS1 (phospho Ser1101) antibody used in Western Blot (WB). GTX32201
GTX32201 WB Image

WB analysis of insulin-treated HepG2 (A) whole cell lysates using GTX32201 IRS1 (phospho Ser1101) antibody.

1 / 2
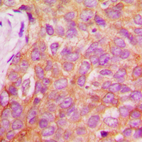
Anti-IRS1 (phospho Ser1101) antibody used in IHC (Paraffin sections) (IHC-P). GTX32201
GTX32201 IHC-P Image

IHC-P analysis of formalin fixed human breast cancer tissue section using GTX32201 IRS1 (phospho Ser1101) antibody.
Antigen retrieval : Heat mediated antigen retrieval with sodium citrate buffer (pH 6.0)

2 / 2
Anti-IRS1 (phospho Ser1101) antibody used in Western Blot (WB). GTX32201
Anti-IRS1 (phospho Ser1101) antibody used in IHC (Paraffin sections) (IHC-P). GTX32201
  • Host
    Rabbit
  • Clonality
    Polyclonal
  • Isotype
    IgG
  • Applications
    WB IHC-P
  • Reactivity
    Human
See all IRS1 products