ISG15 antibody [HL2017]

Cat. No. GTX637918
Cat. No.  GTX637918
Anti-ISG15 antibody [HL2017] used in Western Blot (WB). GTX637918
GTX637918 WB Image

Wild-type (WT) and ISG15 knockout (KO) HeLa cell extracts (30 μg) were separated by 15% SDS-PAGE, and the membrane was blotted with ISG15 antibody [HL2017] (GTX637918) diluted at 1:1000. The HRP-conjugated anti-rabbit IgG antibody (GTX213110-01) was used to detect the primary antibody.

1 / 6
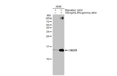
Anti-ISG15 antibody [HL2017] used in Western Blot (WB). GTX637918
GTX637918 WB Image

Untreated (–) and treated (+) A549 whole cell extracts (30 μg) were separated by 15% SDS-PAGE, and the membrane was blotted with ISG15 antibody [HL2017] (GTX637918) diluted at 1:1000. The HRP-conjugated anti-rabbit IgG antibody (GTX213110-01) was used to detect the primary antibody.

2 / 6
Anti-ISG15 antibody [HL2017] used in IHC (Paraffin sections) (IHC-P). GTX637918
GTX637918 IHC-P Image

ISG15 antibody [HL2017] detects ISG15 protein at cytoplasm by immunohistochemical analysis.
Sample: Paraffin-embedded cat brain.
ISG15 stained by ISG15 antibody [HL2017] (GTX637918) diluted at 1:100.
Antigen Retrieval: Citrate buffer, pH 6.0, 15 min

3 / 6
Anti-ISG15 antibody [HL2017] used in Western Blot (WB). GTX637918
GTX637918 WB Image

Whole cell extract (30 μg) was separated by 15% SDS-PAGE, and the membrane was blotted with ISG15 antibody [HL2017] (GTX637918) diluted at 1:1000. The HRP-conjugated anti-rabbit IgG antibody (GTX213110-01) was used to detect the primary antibody, and the signal was developed with Trident ECL plus-Enhanced.

4 / 6
Anti-ISG15 antibody [HL2017] used in Immunocytochemistry/ Immunofluorescence (ICC/IF). GTX637918
GTX637918 ICC/IF Image

ISG15 antibody [HL2017] detects ISG15 protein at cytoplasm and nucleus by immunofluorescent analysis.
Sample: HepG2 cells were fixed in ice-cold MeOH for 5 min.
Green: ISG15 stained by ISG15 antibody [HL2017] (GTX637918) diluted at 1:500.
Blue: Fluoroshield with DAPI (GTX30920).
Scale bar= 10μm.

5 / 6
Anti-ISG15 antibody [HL2017] used in Western Blot (WB). GTX637918
GTX637918 WB Image

Various tissue extracts (50 μg) were separated by 15% SDS-PAGE, and the membrane was blotted with ISG15 antibody [HL2017] (GTX637918) diluted at 1:1000. The HRP-conjugated anti-rabbit IgG antibody (GTX213110-01) was used to detect the primary antibody.

6 / 6
Anti-ISG15 antibody [HL2017] used in Western Blot (WB). GTX637918
Anti-ISG15 antibody [HL2017] used in Western Blot (WB). GTX637918
Anti-ISG15 antibody [HL2017] used in IHC (Paraffin sections) (IHC-P). GTX637918
Anti-ISG15 antibody [HL2017] used in Western Blot (WB). GTX637918
Anti-ISG15 antibody [HL2017] used in Immunocytochemistry/ Immunofluorescence (ICC/IF). GTX637918
Anti-ISG15 antibody [HL2017] used in Western Blot (WB). GTX637918
  • Host
    Rabbit
  • Clonality
    Monoclonal
  • Clone Name
    HL2017
  • Isotype
    IgG
  • Applications
    WB ICC/IF IHC-P
  • Reactivity
    Human, Mouse, Rat, Cat
See all ISG15 products