ITIH3 antibody [N1N3]

Cat. No. GTX112448
Cat. No.  GTX112448
Anti-ITIH3 antibody [N1N3] used in IHC (Paraffin sections) (IHC-P). GTX112448
GTX112448 IHC-P Image

ITI-H3 antibody [N1N3] detects ITI-H3 protein at secreted on mouse cervix by immunohistochemical analysis.
Sample: Paraffin-embedded mouse cervix.
ITI-H3 antibody [N1N3] (GTX112448) dilution: 1:500.

Antigen Retrieval: Trilogy™ (EDTA based, pH 8.0) buffer, 15min

1 / 4
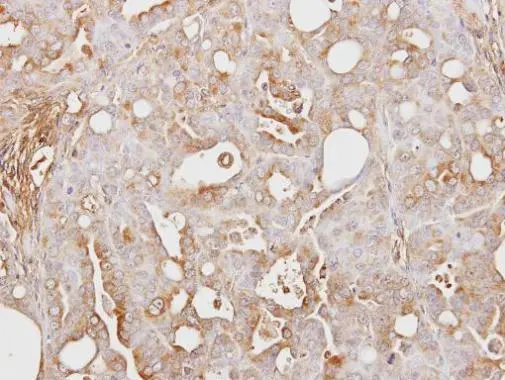
Anti-ITIH3 antibody [N1N3] used in IHC (Paraffin sections) (IHC-P). GTX112448
GTX112448 IHC-P Image

Immunohistochemical analysis of paraffin-embedded NCI-N87 xenograft, using ITI-H3(GTX112448) antibody at 1:100 dilution.
Antigen Retrieval: Trilogy™ (EDTA based, pH 8.0) buffer, 15min

2 / 4
Anti-ITIH3 antibody [N1N3] used in Western Blot (WB). GTX112448
GTX112448 WB Image

Sample (30 ug of whole cell lysate)
A: BCL-1
7.5% SDS PAGE
GTX112448 diluted at 1:1000

3 / 4
Anti-ITIH3 antibody [N1N3] used in Western Blot (WB). GTX112448
GTX112448 WB Image

Sample (30 ug of whole cell lysate)
A: A431
7.5% SDS PAGE
GTX112448 diluted at 1:1000

4 / 4
Anti-ITIH3 antibody [N1N3] used in IHC (Paraffin sections) (IHC-P). GTX112448
Anti-ITIH3 antibody [N1N3] used in IHC (Paraffin sections) (IHC-P). GTX112448
Anti-ITIH3 antibody [N1N3] used in Western Blot (WB). GTX112448
Anti-ITIH3 antibody [N1N3] used in Western Blot (WB). GTX112448
  • Host
    Rabbit
  • Clonality
    Polyclonal
  • Isotype
    IgG
  • Applications
    WB IHC-P
  • Reactivity
    Human, Mouse
See all ITIH3 products