ITK antibody [HL1264]

Cat. No. GTX636666
Cat. No.  GTX636666
Anti-ITK antibody [HL1264] used in Western Blot (WB). GTX636666
GTX636666 WB Image

Various whole cell extracts (30 μg) were separated by 7.5% SDS-PAGE, and the membrane was blotted with ITK antibody [HL1264] (GTX636666) diluted at 1:1000. The HRP-conjugated anti-rabbit IgG antibody (GTX213110-01) was used to detect the primary antibody. Corresponding RNA expression data for the same cell lines are based on Human Protein Atlas program.

1 / 4
Anti-ITK antibody [HL1264] used in IHC (Paraffin sections) (IHC-P). GTX636666
GTX636666 IHC-P Image

ITK antibody [HL1264] detects ITK protein at cytoplasm by immunohistochemical analysis.
Sample: Paraffin-embedded mouse lymph node.
ITK stained by ITK antibody [HL1264] (GTX636666) diluted at 1:100.
Antigen Retrieval: Citrate buffer, pH 6.0, 15 min

2 / 4
Anti-ITK antibody [HL1264] used in Immunocytochemistry/ Immunofluorescence (ICC/IF). GTX636666
GTX636666 ICC/IF Image

ITK antibody [HL1264] detects ITK protein by immunofluorescent analysis.
Sample: Jurkat cells were fixed in 4% paraformaldehyde at RT for 15 min.
Green: ITK stained by ITK antibody [HL1264] (GTX636666) diluted at 1:500.
Blue: Fluoroshield with DAPI (GTX30920).

3 / 4
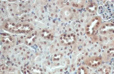
Anti-ITK antibody [HL1264] used in IHC (Paraffin sections) (IHC-P). GTX636666
GTX636666 IHC-P Image

ITK antibody [HL1264] detects ITK protein at cytoplasm and nucleus by immunohistochemical analysis.
Sample: Paraffin-embedded mouse kidney.
ITK stained by ITK antibody [HL1264] (GTX636666) diluted at 1:100.
Antigen Retrieval: Citrate buffer, pH 6.0, 15 min

4 / 4
Anti-ITK antibody [HL1264] used in Western Blot (WB). GTX636666
Anti-ITK antibody [HL1264] used in IHC (Paraffin sections) (IHC-P). GTX636666
Anti-ITK antibody [HL1264] used in Immunocytochemistry/ Immunofluorescence (ICC/IF). GTX636666
Anti-ITK antibody [HL1264] used in IHC (Paraffin sections) (IHC-P). GTX636666
  • Host
    Rabbit
  • Clonality
    Monoclonal
  • Clone Name
    HL1264
  • Isotype
    IgG
  • Applications
    WB ICC/IF IHC-P
  • Reactivity
    Human, Mouse
See all ITK products