ITM2B antibody

Cat. No. GTX119361
Cat. No.  GTX119361
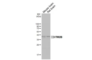
Anti-ITM2B antibody used in Western Blot (WB). GTX119361
GTX119361 WB Image

Various tissue extracts (50 μg) were separated by 12% SDS-PAGE, and the membrane was blotted with ITM2B antibody (GTX119361) diluted at 1:500. The HRP-conjugated anti-rabbit IgG antibody (GTX213110-01) was used to detect the primary antibody.

1 / 6
Anti-ITM2B antibody used in Western Blot (WB). GTX119361
GTX119361 WB Image

Untreated (–) and treated (+) unboiled Capan-2 whole cell extracts (30 μg) were separated by 12% SDS-PAGE, and the membrane was blotted with ITM2B antibody (GTX119361) diluted at 1:1000. The HRP-conjugated anti-rabbit IgG antibody (GTX213110-01) was used to detect the primary antibody.

2 / 6
Anti-ITM2B antibody used in Western Blot (WB). GTX119361
GTX119361 WB Image

Various whole cell extracts (30 μg) were separated by 12% SDS-PAGE, and the membrane was blotted with ITM2B antibody (GTX119361) diluted at 1:1000. The HRP-conjugated anti-rabbit IgG antibody (GTX213110-01) was used to detect the primary antibody. Corresponding RNA expression data for the same cell lines are based on Human Protein Atlas program.

3 / 6
Anti-ITM2B antibody used in IHC (Paraffin sections) (IHC-P). GTX119361
GTX119361 IHC-P Image

ITM2B antibody detects ITM2B protein at Golgi apparatus on mouse esophagus by immunohistochemical analysis.
Sample: Paraffin-embedded mouse brain stem.
ITM2B antibody (GTX119361) dilution: 1:500.

Antigen Retrieval: Trilogy™ (EDTA based, pH 8.0) buffer, 15min

4 / 6
Anti-ITM2B antibody used in Immunocytochemistry/ Immunofluorescence (ICC/IF). GTX119361
GTX119361 ICC/IF Image

Immunofluorescence analysis of methanol-fixed HeLa, using ITM2B(GTX119361) antibody at 1:200 dilution.

5 / 6
Anti-ITM2B antibody used in Western Blot (WB). GTX119361
GTX119361 WB Image

Whole cell extract (30 μg) was separated by 12% SDS-PAGE, and the membrane was blotted with ITM2B antibody (GTX119361) diluted at 1:5000. The HRP-conjugated anti-rabbit IgG antibody (GTX213110-01) was used to detect the primary antibody.

6 / 6
Anti-ITM2B antibody used in Western Blot (WB). GTX119361
Anti-ITM2B antibody used in Western Blot (WB). GTX119361
Anti-ITM2B antibody used in Western Blot (WB). GTX119361
Anti-ITM2B antibody used in IHC (Paraffin sections) (IHC-P). GTX119361
Anti-ITM2B antibody used in Immunocytochemistry/ Immunofluorescence (ICC/IF). GTX119361
Anti-ITM2B antibody used in Western Blot (WB). GTX119361
  • Host
    Rabbit
  • Clonality
    Polyclonal
  • Isotype
    IgG
  • Applications
    WB ICC/IF IHC-P
  • Reactivity
    Human, Mouse, Rat
See all ITM2B products