Iba1 antibody [HL22-RT]

Cat. No. GTX635400
Cat. No.  GTX635400
Anti-Iba1 antibody [HL22-RT] used in Western Blot (WB). GTX635400
GTX635400 WB Image

Various whole cell extracts (30 μg) were separated by 15% SDS-PAGE, and the membrane was blotted with Iba1 antibody [HL22-RT] (GTX635400) diluted at 1:500. The HRP-conjugated anti-rabbit IgG antibody (GTX213110-01) was used to detect the primary antibody, and the signal was developed with Trident ECL plus-Enhanced. Corresponding RNA expression data for the same cell lines are based on Human Protein Atlas program.

1 / 5
Anti-Iba1 antibody [HL22-RT] used in IHC (Frozen sections) (IHC-Fr). GTX635400
GTX635400 IHC-Fr Image

Iba1 antibody [HL22-RT] detects Iba1 protein by immunohistochemical analysis.
Sample: Frozen-sectioned mouse brain.
Green: Iba1 stained by Iba1 antibody [HL22] (GTX635363) diluted at 1:100.
Red: Iba1 stained by Iba1 antibody [HL22-RT] (GTX635400) diluted at 1:100.
Blue: Fluoroshield with DAPI (GTX30920).

2 / 5
Anti-Iba1 antibody [HL22-RT] used in IHC (Paraffin sections) (IHC-P). GTX635400
GTX635400 IHC-P Image

Iba1 antibody [HL22-RT] detects Iba1 protein at cell membrane and cytoplasm by immunohistochemical analysis.
Sample: Paraffin-embedded mouse brain.
Iba1 stained by Iba1 antibody [HL22-RT] (GTX635400) diluted at 1:500.
Antigen Retrieval: Citrate buffer, pH 6.0, 15 min

3 / 5
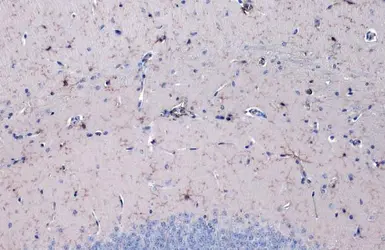
Anti-Iba1 antibody [HL22-RT] used in IHC (Paraffin sections) (IHC-P). GTX635400
GTX635400 IHC-P Image

Iba1 antibody [HL22-RT] detects Iba1 protein at cell membrane and cytoplasm by immunohistochemical analysis.
Sample: Paraffin-embedded rat brain.
Iba1 stained by Iba1 antibody [HL22-RT] (GTX635400) diluted at 1:500.
Antigen Retrieval: Citrate buffer, pH 6.0, 15 min

4 / 5
Anti-Iba1 antibody [HL22-RT] used in Immunocytochemistry/ Immunofluorescence (ICC/IF). GTX635400
GTX635400 ICC/IF Image

Iba1 antibody [HL22-RT] detects Iba1 protein at cytoplasm by immunofluorescent analysis.
Sample: THP-1 cells were fixed in 4% paraformaldehyde at RT for 15 min.
Green: Iba1 stained by Iba1 antibody [HL22-RT] (GTX635400) diluted at 1:500.
Blue: Fluoroshield with DAPI (GTX30920).

5 / 5
Anti-Iba1 antibody [HL22-RT] used in Western Blot (WB). GTX635400
Anti-Iba1 antibody [HL22-RT] used in IHC (Frozen sections) (IHC-Fr). GTX635400
Anti-Iba1 antibody [HL22-RT] used in IHC (Paraffin sections) (IHC-P). GTX635400
Anti-Iba1 antibody [HL22-RT] used in IHC (Paraffin sections) (IHC-P). GTX635400
Anti-Iba1 antibody [HL22-RT] used in Immunocytochemistry/ Immunofluorescence (ICC/IF). GTX635400
  • Host
    Rat
  • Clonality
    Monoclonal
  • Clone Name
    HL22-RT
  • Isotype
    IgG1
  • Applications
    WB ICC/IF IHC-P IHC-Fr
  • Reactivity
    Human, Mouse, Rat
See all Iba1 products