Influenza A virus PA protein antibody [HL1387]

Cat. No. GTX636827
Cat. No.  GTX636827
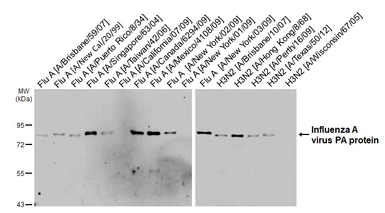
Anti-Influenza A virus PA protein antibody [HL1387] used in Western Blot (WB). GTX636827
GTX636827 WB Image

Various Influenza A viral lysates were separated by 7.5% SDS-PAGE, and the membrane was blotted with Influenza A virus PA protein antibody [HL1387] (GTX636827) diluted at 1:500. The HRP-conjugated anti-rabbit IgG antibody (GTX213110-01) was used to detect the primary antibody, and the signal was developed with Trident ECL plus-Enhanced.

1 / 1
Anti-Influenza A virus PA protein antibody [HL1387] used in Western Blot (WB). GTX636827
  • Host
    Rabbit
  • Clonality
    Monoclonal
  • Clone Name
    HL1387
  • Isotype
    IgG
  • Applications
    WB
  • Reactivity
    Influenza A virus
See all Influenza A virus PA protein products