Influenza A virus PB2 protein antibody [HL4720]

Cat. No. GTX644724
Cat. No.  GTX644724
Anti-Influenza A virus PB2 protein antibody [HL4720] used in Immunocytochemistry/ Immunofluorescence (ICC/IF). GTX644724
GTX644724 ICC/IF Image

Influenza A virus PB2 protein antibody [HL4720] detects Influenza A virus PB2 protein protein by immunofluorescent analysis.
Sample: Mock and transfected 293T cells were fixed in ice-cold MeOH for 5 min.
Green: Influenza A virus PB2 protein stained by Influenza A virus PB2 protein antibody [HL4720] (GTX644724) diluted at 1:500.
Blue: Fluoroshield with DAPI (GTX30920).

1 / 2
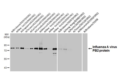
Anti-Influenza A virus PB2 protein antibody [HL4720] used in Western Blot (WB). GTX644724
GTX644724 WB Image

Influenza A viral lysates and Influenza B viral lysate (1 μg) were separated by 7.5% SDS-PAGE, and the membrane was blotted with Influenza A virus PB2 protein antibody [HL4720] (GTX644724) diluted at 1:1000. The HRP-conjugated anti-rabbit IgG antibody (GTX213110-01) was used to detect the primary antibody, and the signal was developed with Trident femto Western HRP Substrate.

2 / 2
Anti-Influenza A virus PB2 protein antibody [HL4720] used in Immunocytochemistry/ Immunofluorescence (ICC/IF). GTX644724
Anti-Influenza A virus PB2 protein antibody [HL4720] used in Western Blot (WB). GTX644724
  • Host
    Rabbit
  • Clonality
    Monoclonal
  • Clone Name
    HL4720
  • Isotype
    IgG
  • Applications
    WB ICC/IF
  • Reactivity
    Influenza A virus
See all Influenza A virus PB2 protein products