Inhibin beta A antibody [HL5443]

Cat. No. GTX646085
Cat. No.  GTX646085
Anti-Inhibin beta A antibody [HL5443] used in Western Blot (WB). GTX646085
GTX646085 WB Image

5637 whole cell extract and conditioned medium (30 μg) were separated by 15% SDS-PAGE, and the membrane was blotted with Inhibin beta A antibody [HL5443] (GTX646085) diluted at 1:1000. The HRP-conjugated anti-rabbit IgG antibody (GTX213110-01) was used to detect the primary antibody.

1 / 3
Anti-Inhibin beta A antibody [HL5443] used in IHC (Paraffin sections) (IHC-P). GTX646085
GTX646085 IHC-P Image

Activin A antibody [HL5443] detects Activin A protein by immunohistochemical analysis.
Sample: Paraffin-embedded rat tissues.
Activin A stained by Activin A antibody [HL5443] (GTX646085) diluted at 1:200.
Antigen Retrieval: Citrate buffer, pH 6.0, 15 min

2 / 3
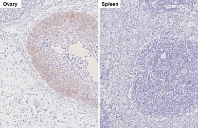
Anti-Inhibin beta A antibody [HL5443] used in IHC (Paraffin sections) (IHC-P). GTX646085
GTX646085 IHC-P Image

Activin A antibody [HL5443] detects Activin A protein by immunohistochemical analysis.
Sample: Paraffin-embedded mouse tissues.
Activin A stained by Inhibin beta A antibody [HL5443] (GTX646085) diluted at 1:200.
Antigen Retrieval: Citrate buffer, pH 6.0, 15 min

3 / 3
Anti-Inhibin beta A antibody [HL5443] used in Western Blot (WB). GTX646085
Anti-Inhibin beta A antibody [HL5443] used in IHC (Paraffin sections) (IHC-P). GTX646085
Anti-Inhibin beta A antibody [HL5443] used in IHC (Paraffin sections) (IHC-P). GTX646085
  • Host
    Rabbit
  • Clonality
    Monoclonal
  • Clone Name
    HL5443
  • Isotype
    IgG
  • Applications
    WB IHC-P
  • Reactivity
    Human, Mouse, Rat
See all Inhibin beta A products