Integrin beta 1 / CD29 antibody

Cat. No. GTX112971
Cat. No.  GTX112971
Anti-Integrin beta 1 / CD29 antibody used in Western Blot (WB). GTX112971
GTX112971 WB Image

Various whole cell extracts (30 μg) were separated by 7.5% SDS-PAGE, and the membranes were blotted with Integrin beta 1 / CD29 antibody (GTX112971) diluted at 1:3000 and competitor's antibody diluted at 1:3000. The HRP-conjugated anti-rabbit IgG antibody (GTX213110-01) was used to detect the primary antibody.

*The competitor is not affiliated with GeneTex and does not endorse this product.

1 / 8
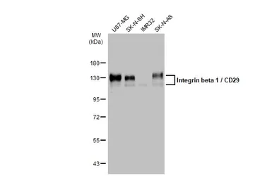
Anti-Integrin beta 1 / CD29 antibody used in Western Blot (WB). GTX112971
GTX112971 WB Image

Various whole cell extracts (30 μg) were separated by 7.5% SDS-PAGE, and the membrane was blotted with Integrin beta 1 / CD29 antibody (GTX112971) diluted at 1:4000. The HRP-conjugated anti-rabbit IgG antibody (GTX213110-01) was used to detect the primary antibody. Corresponding RNA expression data for the same cell lines are based on Human Protein Atlas program.

2 / 8
Anti-Integrin beta 1 / CD29 antibody used in Immunocytochemistry/ Immunofluorescence (ICC/IF). GTX112971
GTX112971 ICC/IF Image

Immunofluorescence analysis of methanol-fixed HeLa, using Integrin beta 1 / CD29(GTX112971) antibody at 1:500 dilution.

3 / 8
Anti-Integrin beta 1 / CD29 antibody used in Western Blot (WB). GTX112971
GTX112971 WB Image

Integrin beta 1 / CD29 antibody detects Integrin beta 1 / CD29 protein by western blot analysis.
A. 30 μg 293T whole cell lysate/extract
B. 30 μg whole cell lysate/extract of human Integrin beta 1 / CD29-transfected 293T cells
7.5% SDS-PAGE
Integrin beta 1 / CD29 antibody (GTX112971) dilution: 1:5000
The HRP-conjugated anti-rabbit IgG antibody (GTX213110-01) was used to detect the primary antibody.

4 / 8
Anti-Integrin beta 1 / CD29 antibody used in Western Blot (WB). GTX112971
GTX112971 WB Image

Non-transfected (–) and transfected (+) HeLa whole cell extracts (15 μg) were separated by 7.5% SDS-PAGE, and the membrane was blotted with Integrin beta 1 / CD29 antibody (GTX112971) diluted at 1:5000. The HRP-conjugated anti-rabbit IgG antibody (GTX213110-01) was used to detect the primary antibody.

5 / 8
Anti-Integrin beta 1 / CD29 antibody used in IHC (Paraffin sections) (IHC-P). GTX112971
GTX112971 IHC-P Image

Immunohistochemical analysis of paraffin-embedded human colon carcinoma, using Integrin beta 1 / CD29(GTX112971) antibody at 1:500 dilution.
Antigen Retrieval: Trilogy™ (EDTA based, pH 8.0) buffer, 15min

6 / 8
Anti-Integrin beta 1 / CD29 antibody used in Western Blot (WB). GTX112971
GTX112971 WB Image

Various whole cell extracts (30 μg) were separated by 7.5% SDS-PAGE, and the membrane was blotted with Integrin beta 1 / CD29 antibody (GTX112971) diluted at 1:4000. The HRP-conjugated anti-rabbit IgG antibody (GTX213110-01) was used to detect the primary antibody.

7 / 8
Anti-Integrin beta 1 / CD29 antibody used in Western Blot (WB). GTX112971
GTX112971 WB Image

Whole cell extract (30 μg) was separated by 7.5% SDS-PAGE, and the membrane was blotted with Integrin beta 1 / CD29 antibody (GTX112971) diluted at 1:5000. The HRP-conjugated anti-rabbit IgG antibody (GTX213110-01) was used to detect the primary antibody, and the signal was developed with Trident ECL plus-Enhanced.

8 / 8
Anti-Integrin beta 1 / CD29 antibody used in Western Blot (WB). GTX112971
Anti-Integrin beta 1 / CD29 antibody used in Western Blot (WB). GTX112971
Anti-Integrin beta 1 / CD29 antibody used in Immunocytochemistry/ Immunofluorescence (ICC/IF). GTX112971
Anti-Integrin beta 1 / CD29 antibody used in Western Blot (WB). GTX112971
Anti-Integrin beta 1 / CD29 antibody used in Western Blot (WB). GTX112971
Anti-Integrin beta 1 / CD29 antibody used in IHC (Paraffin sections) (IHC-P). GTX112971
Anti-Integrin beta 1 / CD29 antibody used in Western Blot (WB). GTX112971
Anti-Integrin beta 1 / CD29 antibody used in Western Blot (WB). GTX112971
  • Host
    Rabbit
  • Clonality
    Polyclonal
  • Isotype
    IgG
  • Applications
    WB ICC/IF IHC-P
  • Reactivity
    Human, Dog
See all Integrin beta 1 / CD29 products