JIK antibody [N2C2], Internal

Cat. No. GTX102894
Cat. No.  GTX102894
Anti-JIK antibody [N2C2], Internal used in Western Blot (WB). GTX102894
GTX102894 WB Image

Sample(30 μg of whole cell lysate)
A:Raji(GTX27908)
7.5% SDS PAGE
GTX102894 diluted at 1:500

1 / 3
Anti-JIK antibody [N2C2], Internal used in Immunocytochemistry/ Immunofluorescence (ICC/IF). GTX102894
GTX102894 ICC/IF Image

Immunofluorescence analysis of methanol-fixed HeLa, using JIK(GTX102894) antibody at 1:500 dilution.

2 / 3
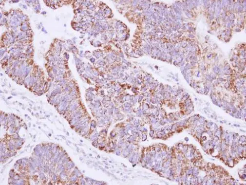
Anti-JIK antibody [N2C2], Internal used in IHC (Paraffin sections) (IHC-P). GTX102894
GTX102894 IHC-P Image

Immunohistochemical analysis of paraffin-embedded human gastric cancer, using JIK(GTX102894) antibody at 1:100 dilution.
Antigen Retrieval: Trilogy™ (EDTA based, pH 8.0) buffer, 15min

3 / 3
Anti-JIK antibody [N2C2], Internal used in Western Blot (WB). GTX102894
Anti-JIK antibody [N2C2], Internal used in Immunocytochemistry/ Immunofluorescence (ICC/IF). GTX102894
Anti-JIK antibody [N2C2], Internal used in IHC (Paraffin sections) (IHC-P). GTX102894
  • Host
    Rabbit
  • Clonality
    Polyclonal
  • Isotype
    IgG
  • Applications
    WB ICC/IF IHC-P
  • Reactivity
    Human
See all JIK products