JPH3 antibody

Cat. No. GTX85366
Cat. No.  GTX85366
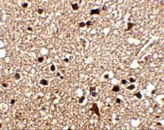
Anti-JPH3 antibody used in IHC (Paraffin sections) (IHC-P). GTX85366
GTX85366 IHC-P Image

IHC-P analysis of human brain tissue using GTX85366 JPH3 antibody.
Working concentration : 2.5 μg/ml

1 / 3
Anti-JPH3 antibody used in IHC (Paraffin sections) (IHC-P). GTX85366
GTX85366 IHC-P Image

IHC-P analysis of human brain tissue using GTX85366 JPH3 antibody.
Working concentration : 20 μg/ml

2 / 3
Anti-JPH3 antibody used in Western Blot (WB). GTX85366
GTX85366 WB Image

WB analysis of Daudi cell lysate in (A) the absence and (B) the presence of blocking peptide using GTX85366 JPH3 antibody.
Working concentration : 1 μg/ml

3 / 3
Anti-JPH3 antibody used in IHC (Paraffin sections) (IHC-P). GTX85366
Anti-JPH3 antibody used in IHC (Paraffin sections) (IHC-P). GTX85366
Anti-JPH3 antibody used in Western Blot (WB). GTX85366
  • Host
    Rabbit
  • Clonality
    Polyclonal
  • Isotype
    IgG
  • Applications
    WB IHC-P ELISA
  • Reactivity
    Human, Mouse, Rat
See all JPH3 products