KBTBD3 antibody

Cat. No. GTX122513
Cat. No.  GTX122513
Anti-KBTBD3 antibody used in IHC (Paraffin sections) (IHC-P). GTX122513
GTX122513 IHC-P Image

KBTBD3 antibody detects KBTBD3 protein at cytoplasm in mouse brain by immunohistochemical analysis.
Sample: Paraffin-embedded mouse brain.
KBTBD3 antibody (GTX122513) diluted at 1:500.

Antigen Retrieval: Citrate buffer, pH 6.0, 15 min

1 / 3
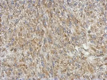
Anti-KBTBD3 antibody used in IHC (Paraffin sections) (IHC-P). GTX122513
GTX122513 IHC-P Image

Immunohistochemical analysis of paraffin-embedded U87 xenograft, using KBTBD3(GTX122513) antibody at 1:500 dilution.
Antigen Retrieval: Trilogy™ (EDTA based, pH 8.0) buffer, 15min

2 / 3
Anti-KBTBD3 antibody used in Western Blot (WB). GTX122513
GTX122513 WB Image

Sample (30 ug of whole cell lysate)
A: PC-3
7.5% SDS PAGE
GTX122513 diluted at 1:2000

3 / 3
Anti-KBTBD3 antibody used in IHC (Paraffin sections) (IHC-P). GTX122513
Anti-KBTBD3 antibody used in IHC (Paraffin sections) (IHC-P). GTX122513
Anti-KBTBD3 antibody used in Western Blot (WB). GTX122513
  • Host
    Rabbit
  • Clonality
    Polyclonal
  • Isotype
    IgG
  • Applications
    WB IHC-P
  • Reactivity
    Human, Mouse
See all KBTBD3 products