KCNAB3 antibody

Cat. No. GTX87771
Cat. No.  GTX87771
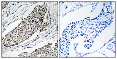
Anti-KCNAB3 antibody used in IHC (Paraffin sections) (IHC-P). GTX87771
GTX87771 IHC-P Image

IHC-P analysis of human breast carcinoma tissue using GTX87771 KCNAB3 antibody. The picture on the right is blocked with the synthesized peptide.

1 / 1
Anti-KCNAB3 antibody used in IHC (Paraffin sections) (IHC-P). GTX87771
  • Host
    Rabbit
  • Clonality
    Polyclonal
  • Isotype
    IgG
  • Applications
    IHC-P
  • Reactivity
    Human
See all KCNAB3 products