KIF22 antibody

Cat. No. GTX66353
Cat. No.  GTX66353
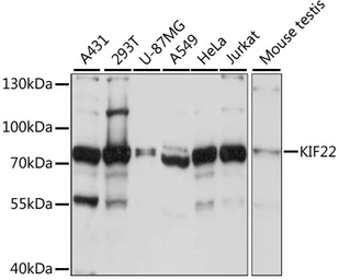
Anti-KIF22 antibody used in Western Blot (WB). GTX66353
GTX66353 WB Image

WB analysis of various sample lysates using GTX66353 KIF22 antibody.
Dilution : 1:1000
Loading : 25μg per lane

1 / 4
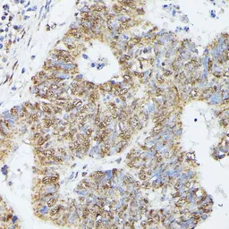
Anti-KIF22 antibody used in IHC (Paraffin sections) (IHC-P). GTX66353
GTX66353 IHC-P Image

IHC-P analysis of human colon carcinoma tissue using GTX66353 KIF22 antibody.
Dilution : 1:100

2 / 4
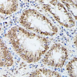
Anti-KIF22 antibody used in IHC (Paraffin sections) (IHC-P). GTX66353
GTX66353 IHC-P Image

IHC-P analysis of human colon tissue using GTX66353 KIF22 antibody.
Dilution : 1:100

3 / 4
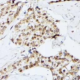
Anti-KIF22 antibody used in IHC (Paraffin sections) (IHC-P). GTX66353
GTX66353 IHC-P Image

IHC-P analysis of human breast cancer tissue using GTX66353 KIF22 antibody.
Dilution : 1:100

4 / 4
Anti-KIF22 antibody used in Western Blot (WB). GTX66353
Anti-KIF22 antibody used in IHC (Paraffin sections) (IHC-P). GTX66353
Anti-KIF22 antibody used in IHC (Paraffin sections) (IHC-P). GTX66353
Anti-KIF22 antibody used in IHC (Paraffin sections) (IHC-P). GTX66353
  • Host
    Rabbit
  • Clonality
    Polyclonal
  • Isotype
    IgG
  • Applications
    WB IHC-P
  • Reactivity
    Human, Mouse
See all KIF22 products