KIFC2 antibody [N3C2], Internal

Cat. No. GTX124082
Cat. No.  GTX124082
Anti-KIFC2 antibody [N3C2], Internal used in Western Blot (WB). GTX124082
GTX124082 WB Image

Sample (30 ug of whole cell lysate)
A: K562
B: THP-1
5% SDS PAGE
GTX124082 diluted at 1:2000

1 / 3
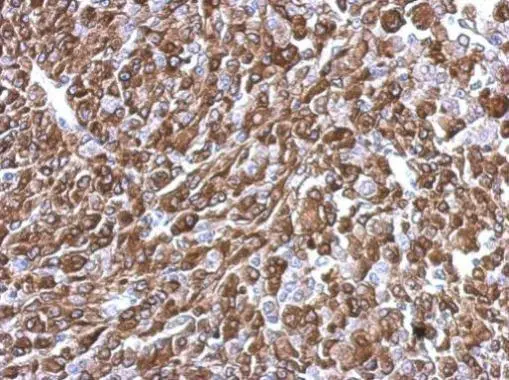
Anti-KIFC2 antibody [N3C2], Internal used in IHC (Paraffin sections) (IHC-P). GTX124082
GTX124082 IHC-P Image

Immunohistochemical analysis of paraffin-embedded Hela xenograft, using KIFC2(GTX124082) antibody at 1:500 dilution.
Antigen Retrieval: Trilogy™ (EDTA based, pH 8.0) buffer, 15min

2 / 3
Anti-KIFC2 antibody [N3C2], Internal used in IHC (Paraffin sections) (IHC-P). GTX124082
GTX124082 IHC-P Image

KIFC2 antibody [N3C2], Internal detects KIFC2 protein at cytoplasm in mouse brain by immunohistochemical analysis.
Sample: Paraffin-embedded mouse brain.
KIFC2 antibody [N3C2], Internal (GTX124082) diluted at 1:500.

Antigen Retrieval: Citrate buffer, pH 6.0, 15 min

3 / 3
Anti-KIFC2 antibody [N3C2], Internal used in Western Blot (WB). GTX124082
Anti-KIFC2 antibody [N3C2], Internal used in IHC (Paraffin sections) (IHC-P). GTX124082
Anti-KIFC2 antibody [N3C2], Internal used in IHC (Paraffin sections) (IHC-P). GTX124082
  • Host
    Rabbit
  • Clonality
    Polyclonal
  • Isotype
    IgG
  • Applications
    WB IHC-P
  • Reactivity
    Human, Mouse, Rat
See all KIFC2 products