KSHV antibody [LN35]

Cat. No. GTX24103
Cat. No.  GTX24103
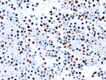
Anti-KSHV antibody [LN35] used in Immunocytochemistry/ Immunofluorescence (ICC/IF). GTX24103
GTX24103 ICC/IF Image

ICC/IF analysis of cultured cells infected with KSHV using GTX24103 KSHV antibody [LN35].

1 / 1
Anti-KSHV antibody [LN35] used in Immunocytochemistry/ Immunofluorescence (ICC/IF). GTX24103
  • Host
    Rat
  • Clonality
    Monoclonal
  • Clone Name
    LN35
  • Isotype
    IgG2c
  • Applications
    ICC/IF
  • Reactivity
    Kaposi's sarcoma-associated herpesvirus
See all KSHV products