Ki67 antibody

Cat. No. GTX20833
Cat. No.  GTX20833
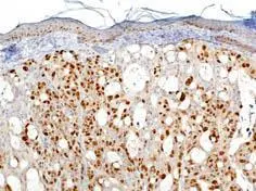
Anti-Ki67 antibody used in IHC (Paraffin sections) (IHC-P). GTX20833
GTX20833 IHC-P Image

Immunohistochemical analysis of formalin-fixed paraffin-embedded human tonsil using Ki-67 antibody. Signal is detected using ABC method with AEC chromogen

1 / 3
Anti-Ki67 antibody used in Immunohistochemistry (IHC). GTX20833
GTX20833 IHC Image

This picture was kindly supplied as part of the review submitted by Dr Robert O'Donogue. Tissue sections from mouse lung were stained with GTX20833 at a dilution of 1/50.

2 / 3
Anti-Ki67 antibody used in Immunohistochemistry (IHC). GTX20833
GTX20833 IHC Image

HT-29 xenograft tumor in mouse 20x pretreatment w/ citrate pH 6.0 using anti-Ki67 antibody GTX20833 at 5 ug/mL for 30 min at RT.

3 / 3
Anti-Ki67 antibody used in IHC (Paraffin sections) (IHC-P). GTX20833
Anti-Ki67 antibody used in Immunohistochemistry (IHC). GTX20833
Anti-Ki67 antibody used in Immunohistochemistry (IHC). GTX20833
  • Host
    Rabbit
  • Clonality
    Polyclonal
  • Isotype
    IgG
  • Applications
    WB ICC/IF IHC-P IHC-Fr IHC
  • Reactivity
    Human, Mouse, Rat
See all Ki67 products