Kv2.1 antibody [GT260]

Cat. No. GTX644550
Cat. No.  GTX644550
Anti-Kv2.1 antibody [GT260] used in IHC (Paraffin sections) (IHC-P). GTX644550
GTX644550 IHC-P Image

Kv2.1 antibody [GT260] detects Kv2.1 protein by immunohistochemical analysis.
Sample: Paraffin-embedded rat tissues.
Kv2.1 stained by Kv2.1 antibody [GT260] (GTX644550) diluted at 1:50.
Antigen Retrieval: Citrate buffer, pH 6.0, 15 min

1 / 8
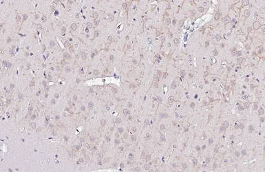
Anti-Kv2.1 antibody [GT260] used in IHC (Paraffin sections) (IHC-P). GTX644550
GTX644550 IHC-P Image

Kv2.1 antibody [GT260] detects Kv2.1 protein by immunohistochemical analysis.
Sample: Paraffin-embedded mouse tissues.
Kv2.1 stained by Kv2.1 antibody [GT260] (GTX644550) diluted at 1:50.
Antigen Retrieval: Citrate buffer, pH 6.0, 15 min

2 / 8
Anti-Kv2.1 antibody [GT260] used in IHC (Paraffin sections) (IHC-P). GTX644550
GTX644550 IHC-P Image

Kv2.1 antibody [GT260] detects Kv2.1 protein by immunohistochemical analysis.
Sample: Paraffin-embedded rat tissues.
Kv2.1 stained by Kv2.1 antibody [GT260] (GTX644550) diluted at 1:50.
Antigen Retrieval: Citrate buffer, pH 6.0, 15 min

3 / 8
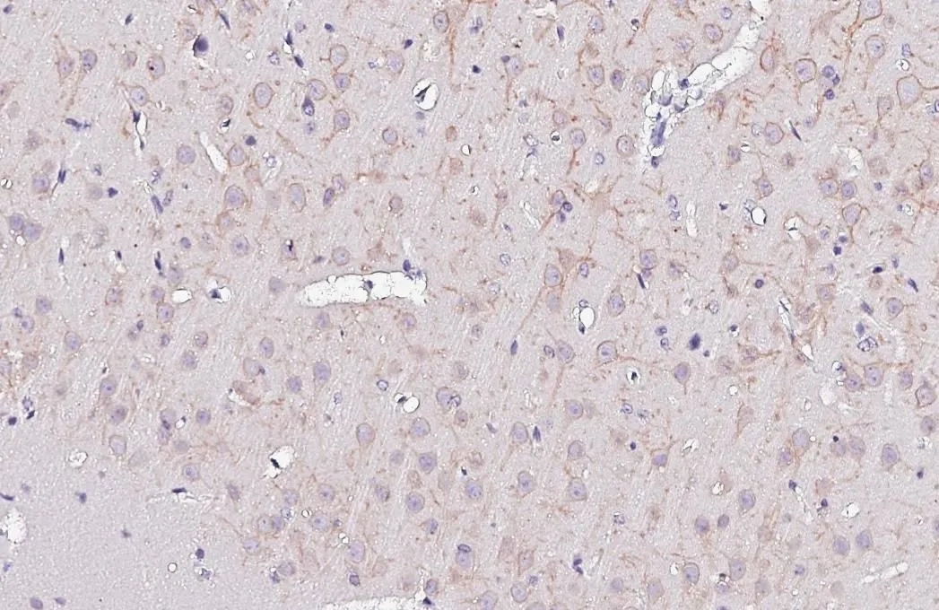
Anti-Kv2.1 antibody [GT260] used in IHC (Paraffin sections) (IHC-P). GTX644550
GTX644550 IHC-P Image

Kv2.1 antibody [GT260] detects Kv2.1 protein by immunohistochemical analysis.
Sample: Paraffin-embedded rat cerebral cortex.
Kv2.1 stained by Kv2.1 antibody [GT260] (GTX644550) diluted at 1:50.
Antigen Retrieval: Citrate buffer, pH 6.0, 15 min

4 / 8
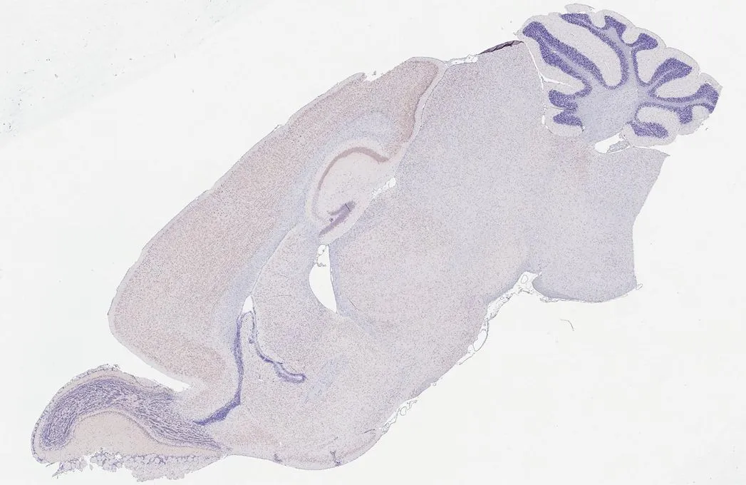
Anti-Kv2.1 antibody [GT260] used in IHC (Paraffin sections) (IHC-P). GTX644550
GTX644550 IHC-P Image

Kv2.1 antibody [GT260] detects Kv2.1 protein by immunohistochemical analysis.
Sample: Paraffin-embedded mouse brain.
Kv2.1 stained by Kv2.1 antibody [GT260] (GTX644550) diluted at 1:50.
Antigen Retrieval: Citrate buffer, pH 6.0, 15 min

5 / 8
Anti-Kv2.1 antibody [GT260] used in Western Blot (WB). GTX644550
GTX644550 WB Image

Various tissue extracts (50 μg) were separated by 7.5% SDS-PAGE, and the membrane was blotted with Kv2.1 antibody [GT260] (GTX644550) diluted at 1:1000. The HRP-conjugated anti-mouse IgG antibody (GTX213111-01) was used to detect the primary antibody. Corresponding RNA expression data are based on NCBI database.

6 / 8
Anti-Kv2.1 antibody [GT260] used in IHC (Paraffin sections) (IHC-P). GTX644550
GTX644550 IHC-P Image

Kv2.1 antibody [GT260] detects Kv2.1 protein by immunohistochemical analysis.
Sample: Paraffin-embedded mouse hippocampus.
Kv2.1 stained by Kv2.1 antibody [GT260] (GTX644550) diluted at 1:50.
Antigen Retrieval: Citrate buffer, pH 6.0, 15 min

7 / 8
Anti-Kv2.1 antibody [GT260] used in Western Blot (WB). GTX644550
GTX644550 WB Image

Rat tissue extract (50 μg) was separated by 7.5% SDS-PAGE, and the membrane was blotted with Kv2.1 antibody [GT260] (GTX644550) diluted at 1:1000. The HRP-conjugated anti-mouse IgG antibody (GTX213111-01) was used to detect the primary antibody.

8 / 8
Anti-Kv2.1 antibody [GT260] used in IHC (Paraffin sections) (IHC-P). GTX644550
Anti-Kv2.1 antibody [GT260] used in IHC (Paraffin sections) (IHC-P). GTX644550
Anti-Kv2.1 antibody [GT260] used in IHC (Paraffin sections) (IHC-P). GTX644550
Anti-Kv2.1 antibody [GT260] used in IHC (Paraffin sections) (IHC-P). GTX644550
Anti-Kv2.1 antibody [GT260] used in IHC (Paraffin sections) (IHC-P). GTX644550
Anti-Kv2.1 antibody [GT260] used in Western Blot (WB). GTX644550
Anti-Kv2.1 antibody [GT260] used in IHC (Paraffin sections) (IHC-P). GTX644550
Anti-Kv2.1 antibody [GT260] used in Western Blot (WB). GTX644550
  • Host
    Mouse
  • Clonality
    Monoclonal
  • Clone Name
    GT260
  • Isotype
    IgG2b
  • Applications
    WB IHC-P
  • Reactivity
    Mouse, Rat
See all Kv2.1 products