L-FABP antibody [MSVA-501M] HistoMAX™

Cat. No. GTX04448
Cat. No.  GTX04448
Anti-L-FABP antibody [MSVA-501M] HistoMAX™ used in IHC (Paraffin sections) (IHC-P). GTX04448
GTX04448 IHC-P Image

IHC-P analysis of human liver tissue using GTX04448 L-FABP antibody [MSVA-501M] HistoMAX™.
Strong L-FABP immunostaining of hepatocytes. Due to very high levels of L-FABP protein in these epithelia staining of adjacent tissues can occur contamination artifact.

1 / 3
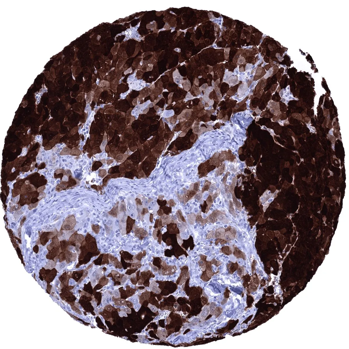
Anti-L-FABP antibody [MSVA-501M] HistoMAX™ used in IHC (Paraffin sections) (IHC-P). GTX04448
GTX04448 IHC-P Image

IHC-P analysis of human hepatocellular carcinoma (HCC) tissue using GTX04448 L-FABP antibody [MSVA-501M] HistoMAX™.
Hepatocellular carcinoma with strong FABP1 immunostaining of 95% of tumor cells.

2 / 3
Anti-L-FABP antibody [MSVA-501M] HistoMAX™ used in IHC (Paraffin sections) (IHC-P). GTX04448
GTX04448 IHC-P Image

IHC-P analysis of human renal cortex tissue using GTX04448 L-FABP antibody [MSVA-501M] HistoMAX™.
In the kidney L-FABP immunostaining preferentially occurs in proximal tubuli.

3 / 3
Anti-L-FABP antibody [MSVA-501M] HistoMAX™ used in IHC (Paraffin sections) (IHC-P). GTX04448
Anti-L-FABP antibody [MSVA-501M] HistoMAX™ used in IHC (Paraffin sections) (IHC-P). GTX04448
Anti-L-FABP antibody [MSVA-501M] HistoMAX™ used in IHC (Paraffin sections) (IHC-P). GTX04448
  • Host
    Mouse
  • Clonality
    Monoclonal
  • Clone Name
    MSVA-501M
  • Isotype
    IgG2b
  • Applications
    IHC-P
  • Reactivity
    Human
Summary
This antibody was validated on 76 different Normal Tissues by IHC-P.

Go to Normal Tissue GalleryGo to Cancer Tissue Gallery

See all L-FABP products