LDHA antibody [5G10]

Cat. No. GTX84226
Cat. No.  GTX84226
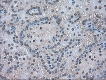
Anti-LDHA antibody [5G10] used in IHC (Paraffin sections) (IHC-P). GTX84226
GTX84226 IHC-P Image

IHC-P analysis of human breast adenocarcinoma tissue using GTX84226 LDHA antibody [5G10].
Antigen retrieval : Heat-induced epitope retrieval by 10mM citrate buffer, pH6.0, 100ºC for 10min.

1 / 7
Anti-LDHA antibody [5G10] used in IHC (Paraffin sections) (IHC-P). GTX84226
GTX84226 IHC-P Image

IHC-P analysis of human kidney carcinoma tissue using GTX84226 LDHA antibody [5G10].
Antigen retrieval : Heat-induced epitope retrieval by 10mM citrate buffer, pH6.0, 100ºC for 10min.

2 / 7
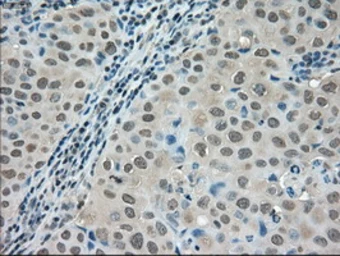
Anti-LDHA antibody [5G10] used in IHC (Paraffin sections) (IHC-P). GTX84226
GTX84226 IHC-P Image

IHC-P analysis of human colon adenocarcinoma tissue using GTX84226 LDHA antibody [5G10].
Antigen retrieval : Heat-induced epitope retrieval by 10mM citrate buffer, pH6.0, 100ºC for 10min.

3 / 7
Anti-LDHA antibody [5G10] used in Immunoprecipitation (IP). GTX84226
GTX84226 IP Image

IP analysis of DDDDK tagged LDHA overexpressed HEK293T lysate using GTX84226 LDHA antibody [5G10].After extensive wash to remove any non-specific binding, the immuno-precipitated products were analyzed with rabbit anti-DDDDK polyclonal antibody.
IP reaction : 2μg antibody / 500μl cell lysate

4 / 7
Anti-LDHA antibody [5G10] used in Western Blot (WB). GTX84226
GTX84226 WB Image

WB analysis of HEK293T cells transfected with LDHA plasmid (Right) or empty vector (Left) for 48 hrs using GTX84226 LDHA antibody [5G10].
Loading : 5 ug per lane

5 / 7
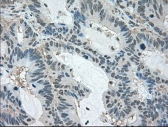
Anti-LDHA antibody [5G10] used in IHC (Paraffin sections) (IHC-P). GTX84226
GTX84226 IHC-P Image

IHC-P analysis of human bladder carcinoma tissue using GTX84226 LDHA antibody [5G10].
Antigen retrieval : Heat-induced epitope retrieval by 10mM citrate buffer, pH6.0, 100ºC for 10min.

6 / 7
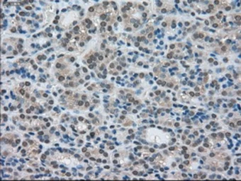
Anti-LDHA antibody [5G10] used in IHC (Paraffin sections) (IHC-P). GTX84226
GTX84226 IHC-P Image

IHC-P analysis of human thyroid carcinoma tissue using GTX84226 LDHA antibody [5G10].
Antigen retrieval : Heat-induced epitope retrieval by 10mM citrate buffer, pH6.0, 100ºC for 10min.

7 / 7
Anti-LDHA antibody [5G10] used in IHC (Paraffin sections) (IHC-P). GTX84226
Anti-LDHA antibody [5G10] used in IHC (Paraffin sections) (IHC-P). GTX84226
Anti-LDHA antibody [5G10] used in IHC (Paraffin sections) (IHC-P). GTX84226
Anti-LDHA antibody [5G10] used in Immunoprecipitation (IP). GTX84226
Anti-LDHA antibody [5G10] used in Western Blot (WB). GTX84226
Anti-LDHA antibody [5G10] used in IHC (Paraffin sections) (IHC-P). GTX84226
Anti-LDHA antibody [5G10] used in IHC (Paraffin sections) (IHC-P). GTX84226
  • Host
    Mouse
  • Clonality
    Monoclonal
  • Clone Name
    5G10
  • Isotype
    IgG1
  • Applications
    WB IHC-P IP
  • Reactivity
    Human
See all LDHA products