LETM1 antibody

Cat. No. GTX112455
Cat. No.  GTX112455
Anti-LETM1 antibody used in Immunocytochemistry/ Immunofluorescence (ICC/IF). GTX112455
GTX112455 ICC/IF Image

Immunofluorescence analysis of methanol-fixed A431, using LETM1(GTX112455) antibody at 1:200 dilution.

1 / 6
Anti-LETM1 antibody used in Western Blot (WB). GTX112455
GTX112455 WB Image

Sample (30 μg of whole cell lysate)
A: A431 (GTX27909)
B: H1299
C: HeLa
D: HepG2 (GTX27900)
7.5% SDS PAGE
GTX112455 diluted at 1:1000
The HRP-conjugated anti-rabbit IgG antibody (GTX213110-01) was used to detect the primary antibody.

2 / 6
Anti-LETM1 antibody used in Western Blot (WB). GTX112455
GTX112455 WB Image

Sample (50 μg of whole cell lysate)
A: Mouse brain
7.5% SDS PAGE
GTX112455 diluted at 1:1000
The HRP-conjugated anti-rabbit IgG antibody (GTX213110-01) was used to detect the primary antibody.

3 / 6
Anti-LETM1 antibody used in IHC (Paraffin sections) (IHC-P). GTX112455
GTX112455 IHC-P Image

LETM1 antibody detects LETM1 protein at cytoplasm on mouse colon by immunohistochemical analysis.
Sample: Paraffin-embedded mouse colon.
LETM1 antibody (GTX112455) diluted at 1:500.

Antigen Retrieval: Trilogy™ (EDTA based, pH 8.0) buffer, 15min

4 / 6
Anti-LETM1 antibody used in IHC (Paraffin sections) (IHC-P). GTX112455
GTX112455 IHC-P Image

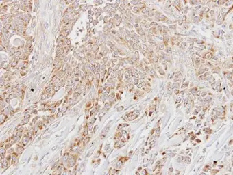
Immunohistochemical analysis of paraffin-embedded HSC3 xenograft, using LETM1(GTX112455) antibody at 1:500 dilution.
Antigen Retrieval: Trilogy™ (EDTA based, pH 8.0) buffer, 15min

5 / 6
Anti-LETM1 antibody used in IHC (Paraffin sections) (IHC-P). GTX112455
GTX112455 IHC-P Image

LETM1 antibody detects LETM1 protein at cytoplasm on mouse stomach by immunohistochemical analysis.
Sample: Paraffin-embedded mouse stomach.
LETM1 antibody (GTX112455) diluted at 1:500.

Antigen Retrieval: Trilogy™ (EDTA based, pH 8.0) buffer, 15min

6 / 6
Anti-LETM1 antibody used in Immunocytochemistry/ Immunofluorescence (ICC/IF). GTX112455
Anti-LETM1 antibody used in Western Blot (WB). GTX112455
Anti-LETM1 antibody used in Western Blot (WB). GTX112455
Anti-LETM1 antibody used in IHC (Paraffin sections) (IHC-P). GTX112455
Anti-LETM1 antibody used in IHC (Paraffin sections) (IHC-P). GTX112455
Anti-LETM1 antibody used in IHC (Paraffin sections) (IHC-P). GTX112455
  • Host
    Rabbit
  • Clonality
    Polyclonal
  • Isotype
    IgG
  • Applications
    WB ICC/IF IHC-P
  • Reactivity
    Human, Mouse
See all LETM1 products