LIN7B antibody [1C9]

Cat. No. GTX84216
Cat. No.  GTX84216
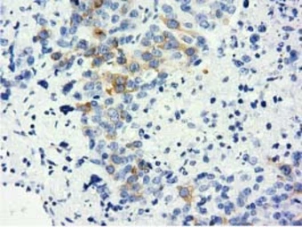
Anti-LIN7B antibody [1C9] used in IHC (Paraffin sections) (IHC-P). GTX84216
GTX84216 IHC-P Image

IHC-P analysis of human ovary adenocarcinoma tissue using GTX84216 LIN7B antibody [1C9].
Antigen retrieval : Heat-induced epitope retrieval by 10mM citrate buffer, pH6.0, 100ºC for 10min.
Dilution : 1:50

1 / 6
Anti-LIN7B antibody [1C9] used in IHC (Paraffin sections) (IHC-P). GTX84216
GTX84216 IHC-P Image

IHC-P analysis of human lymph node tissue using GTX84216 LIN7B antibody [1C9].
Antigen retrieval : Heat-induced epitope retrieval by 10mM citrate buffer, pH6.0, 100ºC for 10min.
Dilution : 1:50

2 / 6
Anti-LIN7B antibody [1C9] used in Western Blot (WB). GTX84216
GTX84216 WB Image

WB analysis of HEK293T cells transfected with LIN7B plasmid (Right) or empty vector (Left) for 48 hrs using GTX84216 LIN7B antibody [1C9].
Loading : 5 ug per lane

3 / 6
Anti-LIN7B antibody [1C9] used in IHC (Paraffin sections) (IHC-P). GTX84216
GTX84216 IHC-P Image

IHC-P analysis of human bladder carcinoma tissue using GTX84216 LIN7B antibody [1C9].
Antigen retrieval : Heat-induced epitope retrieval by 10mM citrate buffer, pH6.0, 100ºC for 10min.
Dilution : 1:50

4 / 6
Anti-LIN7B antibody [1C9] used in Flow cytometry (FCM). GTX84216
GTX84216 FCM Image

FACS analysis of HEK293T cells transfected with either LIN7B plasmid(Red) or empty vector control plasmid(Blue) using GTX84216 LIN7B antibody [1C9].

5 / 6
Anti-LIN7B antibody [1C9] used in Immunocytochemistry/ Immunofluorescence (ICC/IF). GTX84216
GTX84216 ICC/IF Image

ICC/IF analysis of COS7 cells transiently transfected with LIN7B plasmid using GTX84216 LIN7B antibody [1C9].

6 / 6
Anti-LIN7B antibody [1C9] used in IHC (Paraffin sections) (IHC-P). GTX84216
Anti-LIN7B antibody [1C9] used in IHC (Paraffin sections) (IHC-P). GTX84216
Anti-LIN7B antibody [1C9] used in Western Blot (WB). GTX84216
Anti-LIN7B antibody [1C9] used in IHC (Paraffin sections) (IHC-P). GTX84216
Anti-LIN7B antibody [1C9] used in Flow cytometry (FCM). GTX84216
Anti-LIN7B antibody [1C9] used in Immunocytochemistry/ Immunofluorescence (ICC/IF). GTX84216
  • Host
    Mouse
  • Clonality
    Monoclonal
  • Clone Name
    1C9
  • Isotype
    IgG1
  • Applications
    WB ICC/IF IHC-P FCM
  • Reactivity
    Human
See all LIN7B products