LSD1 antibody [1B2E5]

Cat. No. GTX83263
Cat. No.  GTX83263
Anti-LSD1 antibody [1B2E5] used in Western Blot (WB). GTX83263
GTX83263 WB Image

WB analysis of COS (1), HeLa (2), NIH3T3 (3), A549 (4) and Jurkat (5) cell lysate using GTX83263 LSD1 antibody [1B2E5].

1 / 2
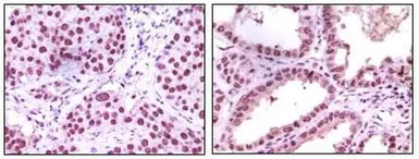
Anti-LSD1 antibody [1B2E5] used in IHC (Paraffin sections) (IHC-P). GTX83263
GTX83263 IHC-P Image

IHC-P analysis of human lung carcinoma (left) and kidney carcinoma (right) using GTX83263 LSD1 antibody [1B2E5].

2 / 2
Anti-LSD1 antibody [1B2E5] used in Western Blot (WB). GTX83263
Anti-LSD1 antibody [1B2E5] used in IHC (Paraffin sections) (IHC-P). GTX83263
  • Host
    Mouse
  • Clonality
    Monoclonal
  • Clone Name
    1B2E5
  • Isotype
    IgG1
  • Applications
    WB IHC-P ELISA
  • Reactivity
    Human, Mouse, Monkey
See all LSD1 products