LSP1 antibody, C-term

Cat. No. GTX88185
Cat. No.  GTX88185
Anti-LSP1 antibody, C-term used in Western Blot (WB). GTX88185
GTX88185 WB Image

WB analysis of mouse spleen lysate (35μg protein in RIPA buffer) using GTX88185 LSP1 antibody, C-term.
Dilution : 0.01μg/ml

1 / 5
Anti-LSP1 antibody, C-term used in Western Blot (WB). GTX88185
GTX88185 WB Image

WB analysis of human liver lysate (lane 1), mouse liver lysate (lane 2) and rat liver lysate (lane 3) using GTX88185 LSP1 antibody, C-term.
Dilution : 0.05μg/ml
Loading : 35μg protein in RIPA buffer

2 / 5
Anti-LSP1 antibody, C-term used in Western Blot (WB). GTX88185
GTX88185 WB Image

WB analysis of human PBM (A), Lymph Node (B) and tonsil (C) lysate (35μg protein in RIPA buffer) using GTX88185 LSP1 antibody, C-term.
Dilution : 0.05μg/ml (human PBM) and 0.03μg/ml (human lymph node and tonsil)

3 / 5
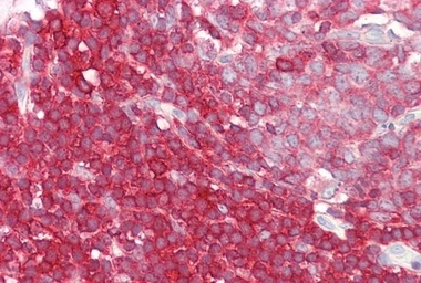
Anti-LSP1 antibody, C-term used in IHC (Paraffin sections) (IHC-P). GTX88185
GTX88185 IHC-P Image

IHC-P analysis of paraffin embedded human colon using GTX88185 LSP1 antibody, C-term.
Antigen retrieval : Steamed antigen retrieval with citrate buffer pH 6
Dilution : 3.75μg/ml

4 / 5
Anti-LSP1 antibody, C-term used in Western Blot (WB). GTX88185
GTX88185 WB Image

WB analysis of Daudi cell ysate (35μg protein in RIPA buffer) using GTX88185 LSP1 antibody, C-term.
Dilution : 0.03μg/ml

5 / 5
Anti-LSP1 antibody, C-term used in Western Blot (WB). GTX88185
Anti-LSP1 antibody, C-term used in Western Blot (WB). GTX88185
Anti-LSP1 antibody, C-term used in Western Blot (WB). GTX88185
Anti-LSP1 antibody, C-term used in IHC (Paraffin sections) (IHC-P). GTX88185
Anti-LSP1 antibody, C-term used in Western Blot (WB). GTX88185
  • Host
    Goat
  • Clonality
    Polyclonal
  • Isotype
    IgG
  • Applications
    WB IHC-P
  • Reactivity
    Human, Mouse, Rat
See all LSP1 products