LTA4H antibody

Cat. No. GTX54332
Cat. No.  GTX54332
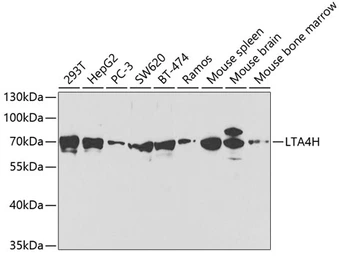
Anti-LTA4H antibody used in Western Blot (WB). GTX54332
GTX54332 WB Image

WB analysis of various sample lysates using GTX54332 LTA4H antibody.
Dilution : 1:1000
Loading : 25μg per lane

1 / 2
Anti-LTA4H antibody used in Immunocytochemistry/ Immunofluorescence (ICC/IF). GTX54332
GTX54332 ICC/IF Image

ICC/IF analysis of HeLa cells using GTX54332 LTA4H antibody.
Blue : DAPI

2 / 2
Anti-LTA4H antibody used in Western Blot (WB). GTX54332
Anti-LTA4H antibody used in Immunocytochemistry/ Immunofluorescence (ICC/IF). GTX54332
  • Host
    Rabbit
  • Clonality
    Polyclonal
  • Isotype
    IgG
  • Applications
    WB ICC/IF
  • Reactivity
    Human, Mouse
See all LTA4H products