LYAG antibody [C2C3], C-term

Cat. No. GTX109821
Cat. No.  GTX109821
Anti-LYAG antibody [C2C3], C-term used in Western Blot (WB). GTX109821
GTX109821 WB Image

Wild-type (WT) and LYAG knockout (KO) 293T cell extracts (30 μg) were separated by 5% SDS-PAGE, and the membrane was blotted with LYAG antibody [C2C3], C-term (GTX109821) diluted at 1:200. The HRP-conjugated anti-rabbit IgG antibody (GTX213110-01) was used to detect the primary antibody.

1 / 4
Anti-LYAG antibody [C2C3], C-term used in IHC (Paraffin sections) (IHC-P). GTX109821
GTX109821 IHC-P Image

LYAG antibody [C2C3], C-term detects LYAG protein at cytoplasm by immunohistochemical analysis.
Sample: Paraffin-embedded human breast carcinoma.
LYAG stained by LYAG antibody [C2C3], C-term (GTX109821) diluted at 1:1000.
Antigen Retrieval: Citrate buffer, pH 6.0, 15 min

2 / 4
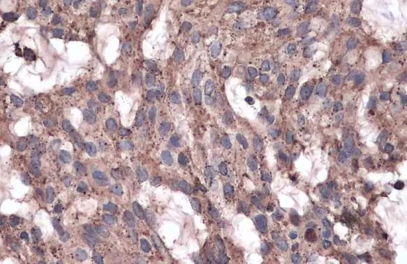
Anti-LYAG antibody [C2C3], C-term used in IHC (Paraffin sections) (IHC-P). GTX109821
GTX109821 IHC-P Image

LYAG antibody [C2C3], C-term detects LYAG protein at cytoplasm by immunohistochemical analysis.
Sample: Paraffin-embedded human breast carcinoma.
LYAG stained by LYAG antibody [C2C3], C-term (GTX109821) diluted at 1:500.
Antigen Retrieval: Citrate buffer, pH 6.0, 15 min

3 / 4
Anti-LYAG antibody [C2C3], C-term used in Western Blot (WB). GTX109821
GTX109821 WB Image

Various whole cell extracts (30 μg) were separated by 5% SDS-PAGE, and the membrane was blotted with LYAG antibody [C2C3], C-term (GTX109821) diluted at 1:1000. The HRP-conjugated anti-rabbit IgG antibody (GTX213110-01) was used to detect the primary antibody.

4 / 4
Anti-LYAG antibody [C2C3], C-term used in Western Blot (WB). GTX109821
Anti-LYAG antibody [C2C3], C-term used in IHC (Paraffin sections) (IHC-P). GTX109821
Anti-LYAG antibody [C2C3], C-term used in IHC (Paraffin sections) (IHC-P). GTX109821
Anti-LYAG antibody [C2C3], C-term used in Western Blot (WB). GTX109821
  • Host
    Rabbit
  • Clonality
    Polyclonal
  • Isotype
    IgG
  • Applications
    WB IHC-P
  • Reactivity
    Human
See all LYAG products