LYK5 antibody

Cat. No. GTX107557
Cat. No.  GTX107557
Anti-LYK5 antibody used in Western Blot (WB). GTX107557
GTX107557 WB Image

Sample (50 ug of whole cell lysate)
A: mouse brain
12% SDS PAGE
GTX107557 diluted at 1:1000

1 / 4
Anti-LYK5 antibody used in Western Blot (WB). GTX107557
GTX107557 WB Image

Sample (30 ug of whole cell lysate)
A: 293T
B: HepG2
12% SDS PAGE
GTX107557 diluted at 1:1000

2 / 4
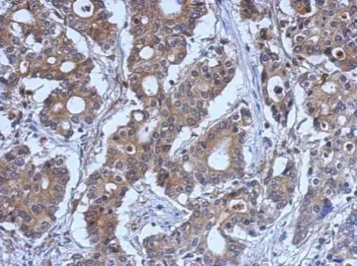
Anti-LYK5 antibody used in IHC (Paraffin sections) (IHC-P). GTX107557
GTX107557 IHC-P Image

Immunohistochemical analysis of paraffin-embedded human gastric cancer, using LYK5(GTX107557) antibody at 1:500 dilution.
Antigen Retrieval: Trilogy™ (EDTA based, pH 8.0) buffer, 15min

3 / 4
Anti-LYK5 antibody used in Immunocytochemistry/ Immunofluorescence (ICC/IF). GTX107557
GTX107557 ICC/IF Image

LYK5 antibody detects LYK5 protein at cytoplasm by immunofluorescent analysis.
Sample: MCF-7 cells were fixed in 4% paraformaldehyde at RT for 15 min.
Green: LYK5 protein stained by LYK5 antibody (GTX107557) diluted at 1:500.
Blue: Hoechst 33342 staining.

4 / 4
Anti-LYK5 antibody used in Western Blot (WB). GTX107557
Anti-LYK5 antibody used in Western Blot (WB). GTX107557
Anti-LYK5 antibody used in IHC (Paraffin sections) (IHC-P). GTX107557
Anti-LYK5 antibody used in Immunocytochemistry/ Immunofluorescence (ICC/IF). GTX107557
  • Host
    Rabbit
  • Clonality
    Polyclonal
  • Isotype
    IgG
  • Applications
    WB ICC/IF IHC-P
  • Reactivity
    Human, Mouse
See all LYK5 products