Lamin B2 antibody

Cat. No. GTX33292
Cat. No.  GTX33292
Anti-Lamin B2 antibody used in Western Blot (WB). GTX33292
GTX33292 WB Image

WB analysis of various sample lysates using GTX33292 Lamin B2 antibody. The signal was developed with ECL plus-Enhanced.
Dilution : 1:1000
Loading : 25μg per lane

1 / 5
Anti-Lamin B2 antibody used in IHC (Paraffin sections) (IHC-P). GTX33292
GTX33292 IHC-P Image

IHC-P analysis of rat brain tissue using GTX33292 Lamin B2 antibody.
Dilution : 1:100

2 / 5
Anti-Lamin B2 antibody used in Immunocytochemistry/ Immunofluorescence (ICC/IF). GTX33292
GTX33292 ICC/IF Image

ICC/IF analysis of U2OS cells using GTX33292 Lamin B2 antibody.
Blue : DAPI

3 / 5
Anti-Lamin B2 antibody used in IHC (Paraffin sections) (IHC-P). GTX33292
GTX33292 IHC-P Image

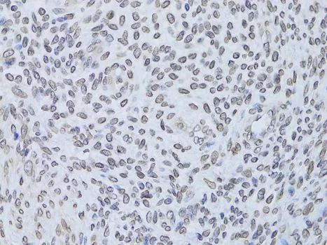
IHC-P analysis of human adenomyosis tissue using GTX33292 Lamin B2 antibody.
Dilution : 1:100

4 / 5
Anti-Lamin B2 antibody used in IHC (Paraffin sections) (IHC-P). GTX33292
GTX33292 IHC-P Image

IHC-P analysis of mouse brain tissue using GTX33292 Lamin B2 antibody.
Dilution : 1:100

5 / 5
Anti-Lamin B2 antibody used in Western Blot (WB). GTX33292
Anti-Lamin B2 antibody used in IHC (Paraffin sections) (IHC-P). GTX33292
Anti-Lamin B2 antibody used in Immunocytochemistry/ Immunofluorescence (ICC/IF). GTX33292
Anti-Lamin B2 antibody used in IHC (Paraffin sections) (IHC-P). GTX33292
Anti-Lamin B2 antibody used in IHC (Paraffin sections) (IHC-P). GTX33292
  • Host
    Rabbit
  • Clonality
    Polyclonal
  • Isotype
    IgG
  • Applications
    WB ICC/IF IHC-P
  • Reactivity
    Human, Mouse, Rat
See all Lamin B2 products