Laminin antibody [4C7] (ready-to-use)

Cat. No. GTX05130
Cat. No.  GTX05130
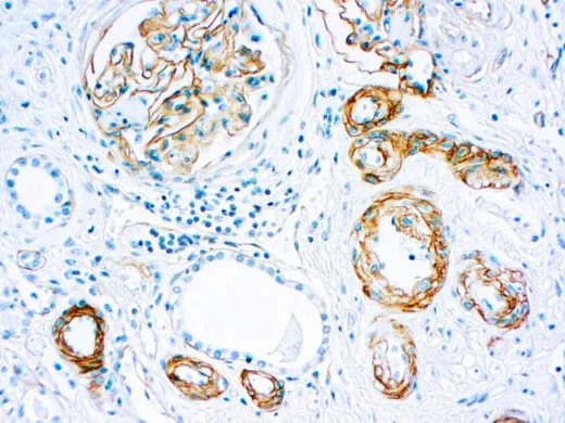
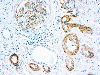
Anti-Laminin antibody [4C7] (ready-to-use) used in IHC (Paraffin sections) (IHC-P). GTX05130
GTX05130 IHC-P Image

IHC-P analysis of human renal carcinoma tissue using GTX05130 Laminin antibody [4C7] (ready-to-use).

1 / 1
Anti-Laminin antibody [4C7] (ready-to-use) used in IHC (Paraffin sections) (IHC-P). GTX05130
  • Host
    Mouse
  • Clonality
    Monoclonal
  • Clone Name
    4C7
  • Isotype
    IgG2a
  • Applications
    IHC-P
  • Reactivity
    Human
See all Laminin products