Lipocalin-2 antibody

Cat. No. GTX132906
Cat. No.  GTX132906
Anti-Lipocalin-2 antibody used in Western Blot (WB). GTX132906
GTX132906 WB Image

Human tissue extract (30 μg) was separated by 12% SDS-PAGE, and the membrane was blotted with Lipocalin-2 antibody (GTX132906) diluted at 1:1000. The HRP-conjugated anti-rabbit IgG antibody (GTX213110-01) was used to detect the primary antibody.

1 / 2
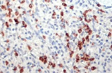
Anti-Lipocalin-2 antibody used in IHC (Paraffin sections) (IHC-P). GTX132906
GTX132906 IHC-P Image

Lipocalin-2 antibody detects Lipocalin-2 protein at cytoplasm by immunohistochemical analysis.
Sample: Paraffin-embedded human spleen.
Lipocalin-2 stained by Lipocalin-2 antibody (GTX132906) diluted at 1:500.
Antigen Retrieval: Citrate buffer, pH 6.0, 15 min

2 / 2
Anti-Lipocalin-2 antibody used in Western Blot (WB). GTX132906
Anti-Lipocalin-2 antibody used in IHC (Paraffin sections) (IHC-P). GTX132906
  • Host
    Rabbit
  • Clonality
    Polyclonal
  • Isotype
    IgG
  • Applications
    WB IHC-P
  • Reactivity
    Human
See all Lipocalin-2 products