MANEA antibody

Cat. No. GTX122518
Cat. No.  GTX122518
Anti-MANEA antibody used in Western Blot (WB). GTX122518
GTX122518 WB Image

Sample (30 ug of whole cell lysate)
A: A431
B: HeLa
C: HepG2
10% SDS PAGE
GTX122518 diluted at 1:1000

1 / 2
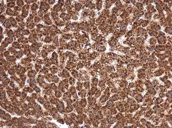
Anti-MANEA antibody used in IHC (Paraffin sections) (IHC-P). GTX122518
GTX122518 IHC-P Image

MANEA antibody detects MANEA protein at cytoplasm in mouse liver by immunohistochemical analysis.
Sample: Paraffin-embedded mouse liver.
MANEA antibody (GTX122518) diluted at 1:500.

Antigen Retrieval: Citrate buffer, pH 6.0, 15 min

2 / 2
Anti-MANEA antibody used in Western Blot (WB). GTX122518
Anti-MANEA antibody used in IHC (Paraffin sections) (IHC-P). GTX122518
  • Host
    Rabbit
  • Clonality
    Polyclonal
  • Isotype
    IgG
  • Applications
    WB IHC-P
  • Reactivity
    Human, Mouse
See all MANEA products