MAP2 antibody [GT925]

Cat. No. GTX634473
Cat. No.  GTX634473
Anti-MAP2 antibody [GT925] used in Immunocytochemistry/ Immunofluorescence (ICC/IF). GTX634473
GTX634473 ICC/IF Image

MAP2 antibody [GT925] detects MAP2 protein in dendrites, but not in axons, by immunofluorescent analysis.
Sample: DIV10 rat E18 primary cortical neuron cells were fixed in 4% paraformaldehyde at RT for 15 min.
Green: Dendrite marker MAP2 stained by MAP2 antibody [GT925] (GTX634473) diluted at 1:500.
Red: Axon marker Tau, stained by Tau antibody (GTX130462) diluted at 1:500.
Blue: Fluoroshield with DAPI (GTX30920).

1 / 3
Anti-MAP2 antibody [GT925] used in Western Blot (WB). GTX634473
GTX634473 WB Image

Various tissue extracts (50 μg) were separated by 5% SDS-PAGE, and the membrane was blotted with MAP2 antibody [GT925] (GTX634473) diluted at 1:6000. The HRP-conjugated anti-mouse IgG antibody (GTX213111-01) was used to detect the primary antibody.

2 / 3
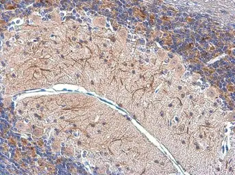
Anti-MAP2 antibody [GT925] used in IHC (Paraffin sections) (IHC-P). GTX634473
GTX634473 IHC-P Image

MAP2 antibody [GT925] detects MAP2 protein at cytoplasm by immunohistochemical analysis.
Sample: Paraffin-embedded mouse cerebellum.
MAP2 stained by MAP2 antibody [GT925] (GTX634473) diluted at 1:2000.
Antigen Retrieval: Citrate buffer, pH 6.0, 15 min

3 / 3
Anti-MAP2 antibody [GT925] used in Immunocytochemistry/ Immunofluorescence (ICC/IF). GTX634473
Anti-MAP2 antibody [GT925] used in Western Blot (WB). GTX634473
Anti-MAP2 antibody [GT925] used in IHC (Paraffin sections) (IHC-P). GTX634473
  • Host
    Mouse
  • Clonality
    Monoclonal
  • Clone Name
    GT925
  • Isotype
    IgG3
  • Applications
    WB ICC/IF IHC-P
  • Reactivity
    Mouse, Rat
See all MAP2 products