MAT1A antibody, N-term

Cat. No. GTX47163
Cat. No.  GTX47163
Anti-MAT1A antibody, N-term used in Western Blot (WB). GTX47163
GTX47163 WB Image

WB analysis of Jurkat cells using GTX47163 MAT1A antibody at 1.25μg/ml.

1 / 2
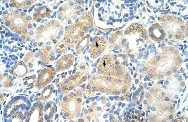
Anti-MAT1A antibody, N-term used in IHC (Paraffin sections) (IHC-P). GTX47163
GTX47163 IHC-P Image

IHC-P analysis of human kidney tissue using GTX47163 MAT1A antibody at 4.0-8.0μg/ml.

2 / 2
Anti-MAT1A antibody, N-term used in Western Blot (WB). GTX47163
Anti-MAT1A antibody, N-term used in IHC (Paraffin sections) (IHC-P). GTX47163
  • Host
    Rabbit
  • Clonality
    Polyclonal
  • Isotype
    IgG
  • Applications
    WB IHC-P
  • Reactivity
    Human
See all MAT1A products