MAT2A antibody

Cat. No. GTX64527
Cat. No.  GTX64527
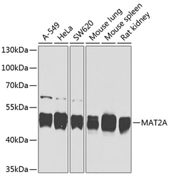
Anti-MAT2A antibody used in Western Blot (WB). GTX64527
GTX64527 WB Image

WB analysis of various sample lysates using GTX64527 MAT2A antibody.
Dilution : 1:1000
Loading : 25μg per lane

1 / 1
Anti-MAT2A antibody used in Western Blot (WB). GTX64527
  • Host
    Rabbit
  • Clonality
    Polyclonal
  • Isotype
    IgG
  • Applications
    WB
  • Reactivity
    Human, Mouse, Rat
See all MAT2A products