MCL1 antibody [HL1544]

Cat. No. GTX637019
Cat. No.  GTX637019
Anti-MCL1 antibody [HL1544] used in IHC (Paraffin sections) (IHC-P). GTX637019
GTX637019 IHC-P Image

MCL1 antibody [HL1544] detects MCL1 protein by immunohistochemical analysis.
Sample: Paraffin-embedded cat tissue.
MCL1 stained by MCL1 antibody [HL1544] (GTX637019) diluted at 1:100.
Antigen Retrieval: Citrate buffer, pH 6.0, 15 min

1 / 7
Anti-MCL1 antibody [HL1544] used in IHC (Paraffin sections) (IHC-P). GTX637019
GTX637019 IHC-P Image

MCL1 antibody [HL1544] detects MCL1 protein by immunohistochemical analysis.
Sample: Paraffin-embedded dog tissue.
MCL1 stained by MCL1 antibody [HL1544] (GTX637019) diluted at 1:100.
Antigen Retrieval: Citrate buffer, pH 6.0, 15 min

2 / 7
Anti-MCL1 antibody [HL1544] used in IHC (Paraffin sections) (IHC-P). GTX637019
GTX637019 IHC-P Image

MCL1 antibody [HL1544] detects MCL1 protein by immunohistochemical analysis.
Sample: Paraffin-embedded mouse tissues.
MCL1 stained by MCL1 antibody [HL1544] (GTX637019) diluted at 1:100.
Antigen Retrieval: Citrate buffer, pH 6.0, 15 min

3 / 7
Anti-MCL1 antibody [HL1544] used in Western Blot (WB). GTX637019
GTX637019 WB Image

Various whole cell extracts (30 μg) were separated by 10% SDS-PAGE, and the membrane was blotted with MCL1 antibody [HL1544] (GTX637019) diluted at 1:1000. The HRP-conjugated anti-rabbit IgG antibody (GTX213110-01) was used to detect the primary antibody. Corresponding RNA expression data for the same cell lines are based on Human Protein Atlas program.

4 / 7
Anti-MCL1 antibody [HL1544] used in Western Blot (WB). GTX637019
GTX637019 WB Image

Various whole cell extracts (30 μg) were separated by 10% SDS-PAGE, and the membrane was blotted with MCL1 antibody [HL1544] (GTX637019) diluted at 1:1000. The HRP-conjugated anti-rabbit IgG antibody (GTX213110-01) was used to detect the primary antibody.

5 / 7
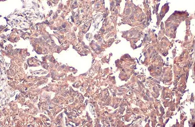
Anti-MCL1 antibody [HL1544] used in IHC (Paraffin sections) (IHC-P). GTX637019
GTX637019 IHC-P Image

MCL1 antibody [HL1544] detects MCL1 protein at cytoplasm by immunohistochemical analysis.
Sample: Paraffin-embedded human breast carcinoma.
MCL1 stained by MCL1 antibody [HL1544] (GTX637019) diluted at 1:100.
Antigen Retrieval: Citrate buffer, pH 6.0, 15 min

6 / 7
Anti-MCL1 antibody [HL1544] used in Western Blot (WB). GTX637019
GTX637019 WB Image

Various whole cell extracts (30 μg) were separated by 10% SDS-PAGE, and the membrane was blotted with MCL1 antibody [HL1544] (GTX637019) diluted at 1:1000. The HRP-conjugated anti-rabbit IgG antibody (GTX213110-01) was used to detect the primary antibody.

7 / 7
Anti-MCL1 antibody [HL1544] used in IHC (Paraffin sections) (IHC-P). GTX637019
Anti-MCL1 antibody [HL1544] used in IHC (Paraffin sections) (IHC-P). GTX637019
Anti-MCL1 antibody [HL1544] used in IHC (Paraffin sections) (IHC-P). GTX637019
Anti-MCL1 antibody [HL1544] used in Western Blot (WB). GTX637019
Anti-MCL1 antibody [HL1544] used in Western Blot (WB). GTX637019
Anti-MCL1 antibody [HL1544] used in IHC (Paraffin sections) (IHC-P). GTX637019
Anti-MCL1 antibody [HL1544] used in Western Blot (WB). GTX637019
  • Host
    Rabbit
  • Clonality
    Monoclonal
  • Clone Name
    HL1544
  • Isotype
    IgG
  • Applications
    WB IHC-P
  • Reactivity
    Human, Mouse, Rat, Cat, Dog
See all MCL1 products