MCL1 antibody

Cat. No. GTX55698
Cat. No.  GTX55698
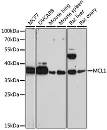
Anti-MCL1 antibody used in Western Blot (WB). GTX55698
GTX55698 WB Image

WB analysis of various sample lysates using GTX55698 MCL1 antibody.
Dilution : 1:1000
Loading : 25μg per lane

1 / 2
Anti-MCL1 antibody used in Immunocytochemistry/ Immunofluorescence (ICC/IF). GTX55698
GTX55698 ICC/IF Image

ICC/IF analysis of NIH/3T3 cells using GTX55698 MCL1 antibody.
Blue : DAPI
Dilution : 1:100

2 / 2
Anti-MCL1 antibody used in Western Blot (WB). GTX55698
Anti-MCL1 antibody used in Immunocytochemistry/ Immunofluorescence (ICC/IF). GTX55698
  • Host
    Rabbit
  • Clonality
    Polyclonal
  • Isotype
    IgG
  • Applications
    WB ICC/IF
  • Reactivity
    Human, Mouse, Rat
See all MCL1 products