MDM2 antibody

Cat. No. GTX50670
Cat. No.  GTX50670
Anti-MDM2 antibody used in Western Blot (WB). GTX50670
GTX50670 WB Image

WB analysis of extracts from HT-29, HeLa, and 293 cells using GTX50670 MDM2 antibody.

1 / 3
Anti-MDM2 antibody used in Immunocytochemistry/ Immunofluorescence (ICC/IF). GTX50670
GTX50670 ICC/IF Image

ICC/IF analysis of methanol-fixed HeLa cells using GTX50670 MDM2 antibody.

2 / 3
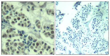
Anti-MDM2 antibody used in IHC (Paraffin sections) (IHC-P). GTX50670
GTX50670 IHC-P Image

IHC-P analysis of human breast carcinoma tissue using GTX50670 MDM2 antibody.
Left : Primary antibody
Right : Primary antibody pre-incubated with the antigen specific peptide

3 / 3
Anti-MDM2 antibody used in Western Blot (WB). GTX50670
Anti-MDM2 antibody used in Immunocytochemistry/ Immunofluorescence (ICC/IF). GTX50670
Anti-MDM2 antibody used in IHC (Paraffin sections) (IHC-P). GTX50670
  • Host
    Rabbit
  • Clonality
    Polyclonal
  • Isotype
    IgG
  • Applications
    WB ICC/IF IHC-P
  • Reactivity
    Human
See all MDM2 products