MEF2A (phospho Ser408) antibody

Cat. No. GTX79018
Cat. No.  GTX79018
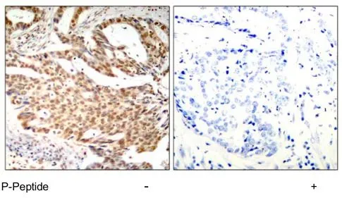
Anti-MEF2A (phospho Ser408) antibody used in IHC (Paraffin sections) (IHC-P). GTX79018
GTX79018 IHC-P Image

IHC-P analysis of human breast carcinoma tissue using GTX79018 MEF2A (phospho Ser408) antibody.

1 / 1
Anti-MEF2A (phospho Ser408) antibody used in IHC (Paraffin sections) (IHC-P). GTX79018
  • Host
    Rabbit
  • Clonality
    Polyclonal
  • Isotype
    IgG
  • Applications
    IHC-P
  • Reactivity
    Human
See all MEF2A products