MEK1 (phospho Ser217) antibody

Cat. No. GTX79015
Cat. No.  GTX79015
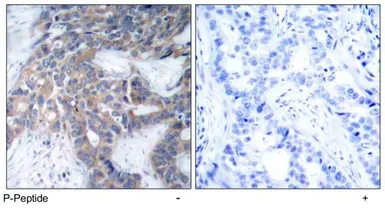
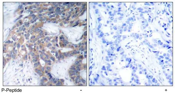
Anti-MEK1 (phospho Ser217) antibody used in IHC (Paraffin sections) (IHC-P). GTX79015
GTX79015 IHC-P Image

IHC-P analysis of human breast carcinoma tissue using GTX79015 MEK1 (phospho Ser217) antibody.

1 / 1
Anti-MEK1 (phospho Ser217) antibody used in IHC (Paraffin sections) (IHC-P). GTX79015
  • Host
    Rabbit
  • Clonality
    Polyclonal
  • Isotype
    IgG
  • Applications
    IHC-P
  • Reactivity
    Human
See all MEK1 products