MIOX antibody [4G7]

Cat. No. GTX84117
Cat. No.  GTX84117
Anti-MIOX antibody [4G7] used in IHC (Paraffin sections) (IHC-P). GTX84117
GTX84117 IHC-P Image

IHC-P analysis of human endometrium tissue using GTX84117 MIOX antibody [4G7].
Antigen retrieval : Heat-induced epitope retrieval by 10mM citrate buffer, pH6.0, 100ºC for 10min.

1 / 13
Anti-MIOX antibody [4G7] used in IHC (Paraffin sections) (IHC-P). GTX84117
GTX84117 IHC-P Image

IHC-P analysis of human kidney tissue using GTX84117 MIOX antibody [4G7].
Antigen retrieval : Heat-induced epitope retrieval by 10mM citrate buffer, pH6.0, 100ºC for 10min.

2 / 13
Anti-MIOX antibody [4G7] used in Western Blot (WB). GTX84117
GTX84117 WB Image

WB analysis of various cell lines using GTX84117 MIOX antibody [4G7].
Loading : 35 ug per lane
Dilution : 1:200

3 / 13
Anti-MIOX antibody [4G7] used in Flow cytometry (FCM). GTX84117
GTX84117 FCM Image

FACS analysis of HEK293T cells transfected with either MIOX plasmid(Red) or empty vector control plasmid(Blue) using GTX84117 MIOX antibody [4G7].

4 / 13
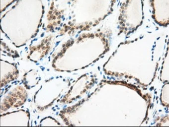
Anti-MIOX antibody [4G7] used in IHC (Paraffin sections) (IHC-P). GTX84117
GTX84117 IHC-P Image

IHC-P analysis of human thyroid tissue using GTX84117 MIOX antibody [4G7].
Antigen retrieval : Heat-induced epitope retrieval by 10mM citrate buffer, pH6.0, 100ºC for 10min.

5 / 13
Anti-MIOX antibody [4G7] used in IHC (Paraffin sections) (IHC-P). GTX84117
GTX84117 IHC-P Image

IHC-P analysis of human ovary adenocarcinoma tissue using GTX84117 MIOX antibody [4G7].
Antigen retrieval : Heat-induced epitope retrieval by 10mM citrate buffer, pH6.0, 100ºC for 10min.

6 / 13
Anti-MIOX antibody [4G7] used in Western Blot (WB). GTX84117
GTX84117 WB Image

WB analysis of HEK293T cells transfected with MIOX plasmid (Right) or empty vector (Left) for 48 hrs using GTX84117 MIOX antibody [4G7].
Loading : 5 ug per lane

7 / 13
Anti-MIOX antibody [4G7] used in IHC (Paraffin sections) (IHC-P). GTX84117
GTX84117 IHC-P Image

IHC-P analysis of human liver tissue using GTX84117 MIOX antibody [4G7].
Antigen retrieval : Heat-induced epitope retrieval by 10mM citrate buffer, pH6.0, 100ºC for 10min.

8 / 13
Anti-MIOX antibody [4G7] used in IHC (Paraffin sections) (IHC-P). GTX84117
GTX84117 IHC-P Image

IHC-P analysis of human colon adenocarcinoma tissue using GTX84117 MIOX antibody [4G7].
Antigen retrieval : Heat-induced epitope retrieval by 10mM citrate buffer, pH6.0, 100ºC for 10min.

9 / 13
Anti-MIOX antibody [4G7] used in IHC (Paraffin sections) (IHC-P). GTX84117
GTX84117 IHC-P Image

IHC-P analysis of human breast adenocarcinoma tissue using GTX84117 MIOX antibody [4G7].
Antigen retrieval : Heat-induced epitope retrieval by 10mM citrate buffer, pH6.0, 100ºC for 10min.

10 / 13
Anti-MIOX antibody [4G7] used in Immunocytochemistry/ Immunofluorescence (ICC/IF). GTX84117
GTX84117 ICC/IF Image

ICC/IF analysis of COS7 cells transiently transfected with MIOX plasmid using GTX84117 MIOX antibody [4G7].

11 / 13
Anti-MIOX antibody [4G7] used in IHC (Paraffin sections) (IHC-P). GTX84117
GTX84117 IHC-P Image

IHC-P analysis of human prostate tissue using GTX84117 MIOX antibody [4G7].
Antigen retrieval : Heat-induced epitope retrieval by 10mM citrate buffer, pH6.0, 100ºC for 10min.

12 / 13
Anti-MIOX antibody [4G7] used in IHC (Paraffin sections) (IHC-P). GTX84117
GTX84117 IHC-P Image

IHC-P analysis of human pancreas tissue using GTX84117 MIOX antibody [4G7].
Antigen retrieval : Heat-induced epitope retrieval by 10mM citrate buffer, pH6.0, 100ºC for 10min.

13 / 13
Anti-MIOX antibody [4G7] used in IHC (Paraffin sections) (IHC-P). GTX84117
Anti-MIOX antibody [4G7] used in IHC (Paraffin sections) (IHC-P). GTX84117
Anti-MIOX antibody [4G7] used in Western Blot (WB). GTX84117
Anti-MIOX antibody [4G7] used in Flow cytometry (FCM). GTX84117
Anti-MIOX antibody [4G7] used in IHC (Paraffin sections) (IHC-P). GTX84117
Anti-MIOX antibody [4G7] used in IHC (Paraffin sections) (IHC-P). GTX84117
Anti-MIOX antibody [4G7] used in Western Blot (WB). GTX84117
Anti-MIOX antibody [4G7] used in IHC (Paraffin sections) (IHC-P). GTX84117
Anti-MIOX antibody [4G7] used in IHC (Paraffin sections) (IHC-P). GTX84117
Anti-MIOX antibody [4G7] used in IHC (Paraffin sections) (IHC-P). GTX84117
Anti-MIOX antibody [4G7] used in Immunocytochemistry/ Immunofluorescence (ICC/IF). GTX84117
Anti-MIOX antibody [4G7] used in IHC (Paraffin sections) (IHC-P). GTX84117
Anti-MIOX antibody [4G7] used in IHC (Paraffin sections) (IHC-P). GTX84117
  • Host
    Mouse
  • Clonality
    Monoclonal
  • Clone Name
    4G7
  • Isotype
    IgG2a
  • Applications
    WB ICC/IF IHC-P FCM
  • Reactivity
    Human, Mouse, Rat, Dog, Monkey
See all MIOX products