MMAB antibody

Cat. No. GTX106767
Cat. No.  GTX106767
Anti-MMAB antibody used in Western Blot (WB). GTX106767
GTX106767 WB Image

Sample (30 ug of whole cell lysate)
A: HepG2
12% SDS PAGE
GTX106767 diluted at 1:1000

1 / 2
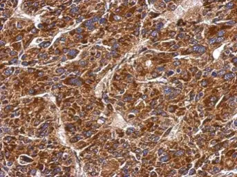
Anti-MMAB antibody used in IHC (Paraffin sections) (IHC-P). GTX106767
GTX106767 IHC-P Image

Immunohistochemical analysis of paraffin-embedded human hepatoma, using MMAB(GTX106767) antibody at 1:500 dilution.
Antigen Retrieval: Trilogy™ (EDTA based, pH 8.0) buffer, 15min

2 / 2
Anti-MMAB antibody used in Western Blot (WB). GTX106767
Anti-MMAB antibody used in IHC (Paraffin sections) (IHC-P). GTX106767
  • Host
    Rabbit
  • Clonality
    Polyclonal
  • Isotype
    IgG
  • Applications
    WB IHC-P
  • Reactivity
    Human
See all MMAB products