MMP11 antibody

Cat. No. GTX03717
Cat. No.  GTX03717
Anti-MMP11 antibody used in IHC (Paraffin sections) (IHC-P). GTX03717
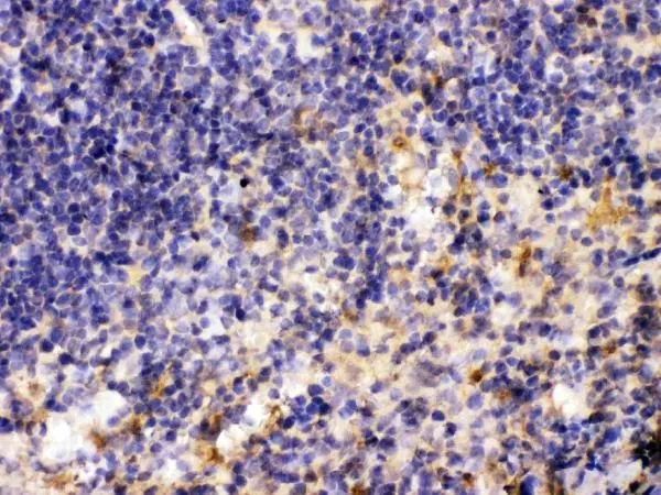
GTX03717 IHC-P Image

IHC-P analysis of rat spleen tissue using GTX03717 MMP11 antibody.
Antigen retrieval : Heat mediated antigen retrieval was performed in citrate buffer (pH6, epitope retrieval solution) for 20 mins
Dilution : 1μg/ml

1 / 4
Anti-MMP11 antibody used in IHC (Paraffin sections) (IHC-P). GTX03717
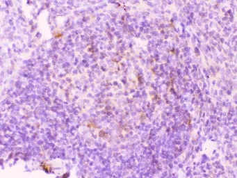
GTX03717 IHC-P Image

IHC-P analysis of mouse spleen tissue using GTX03717 MMP11 antibody.
Antigen retrieval : Heat mediated antigen retrieval was performed in citrate buffer (pH6, epitope retrieval solution) for 20 mins
Dilution : 1μg/ml

2 / 4
Anti-MMP11 antibody used in Western Blot (WB). GTX03717
GTX03717 WB Image

WB analysis of various cell lysates using GTX03717 MMP11 antibody.
Lane 1 : Rat spleen tissue
Lane 2 : MM231 cell lysate
Dilution : 0.5 μg/mL
Loading : 50 μg per lane

3 / 4
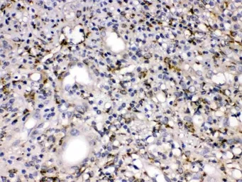
Anti-MMP11 antibody used in IHC (Paraffin sections) (IHC-P). GTX03717
GTX03717 IHC-P Image

IHC-P analysis of human appendicitis tissue using GTX03717 MMP11 antibody.
Antigen retrieval : Heat mediated antigen retrieval was performed in citrate buffer (pH6, epitope retrieval solution) for 20 mins
Dilution : 1μg/ml

4 / 4
Anti-MMP11 antibody used in IHC (Paraffin sections) (IHC-P). GTX03717
Anti-MMP11 antibody used in IHC (Paraffin sections) (IHC-P). GTX03717
Anti-MMP11 antibody used in Western Blot (WB). GTX03717
Anti-MMP11 antibody used in IHC (Paraffin sections) (IHC-P). GTX03717
  • Host
    Rabbit
  • Clonality
    Polyclonal
  • Isotype
    IgG
  • Applications
    WB IHC-P
  • Reactivity
    Human, Mouse, Rat
See all MMP11 products