MMP16 antibody

Cat. No. GTX109378
Cat. No.  GTX109378
Anti-MMP16 antibody used in Western Blot (WB). GTX109378
GTX109378 WB Image

MMP16 antibody detects MMP16 protein by Western blot analysis.
A. 50 μg mouse kidney lysate/extract
10 % SDS-PAGE
MMP16 antibody (GTX109378) dilution: 1:1000

1 / 4
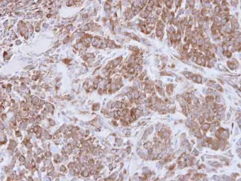
Anti-MMP16 antibody used in IHC (Paraffin sections) (IHC-P). GTX109378
GTX109378 IHC-P Image

Immunohistochemical analysis of paraffin-embedded A549 xenograft , using MMP16(GTX109378) antibody at 1:100 dilution.
Antigen Retrieval: Trilogy™ (EDTA based, pH 8.0) buffer, 15min

2 / 4
Anti-MMP16 antibody used in Western Blot (WB). GTX109378
GTX109378 WB Image

MMP16 antibody detects MMP16 protein by Western blot analysis.
A. 50 μg rat kidney lysate/extract
10 % SDS-PAGE
MMP16 antibody (GTX109378) dilution: 1:1000

3 / 4
Anti-MMP16 antibody used in Western Blot (WB). GTX109378
GTX109378 WB Image

The data was published in the journal PLoS One in 2013.PMID: 23472152

4 / 4
Anti-MMP16 antibody used in Western Blot (WB). GTX109378
Anti-MMP16 antibody used in IHC (Paraffin sections) (IHC-P). GTX109378
Anti-MMP16 antibody used in Western Blot (WB). GTX109378
Anti-MMP16 antibody used in Western Blot (WB). GTX109378
  • Host
    Rabbit
  • Clonality
    Polyclonal
  • Isotype
    IgG
  • Applications
    WB IHC-P
  • Reactivity
    Human, Mouse, Rat
See all MMP16 products