MMP2 antibody

Cat. No. GTX104577
Cat. No.  GTX104577
Anti-MMP2 antibody used in Western Blot (WB). GTX104577
GTX104577 WB Image

U87-MG whole cell extract and conditioned medium (30 μg) were separated by 7.5% SDS-PAGE, and the membrane was blotted with MMP2 antibody (GTX104577) diluted at 1:1000. The HRP-conjugated anti-rabbit IgG antibody (GTX213110-01) was used to detect the primary antibody.

1 / 12
Anti-MMP2 antibody used in Western Blot (WB). GTX104577
GTX104577 WB Image

Mouse tissue extract (50 μg) was separated by 7.5% SDS-PAGE, and the membrane was blotted with MMP2 antibody (GTX104577) diluted at 1:1000. The HRP-conjugated anti-rabbit IgG antibody (GTX213110-01) was used to detect the primary antibody.

2 / 12
Anti-MMP2 antibody used in Western Blot (WB). GTX104577
GTX104577 WB Image

Whole cell extract (30 μg) was separated by 7.5% SDS-PAGE, and the membrane was blotted with MMP2 antibody (GTX104577) diluted at 1:1000. The HRP-conjugated anti-rabbit IgG antibody (GTX213110-01) was used to detect the primary antibody.

3 / 12
Anti-MMP2 antibody used in Immunocytochemistry/ Immunofluorescence (ICC/IF). GTX104577
GTX104577 ICC/IF Image

MMP2 antibody detects MMP2 protein at cytoplasm by immunofluorescent analysis.
Sample: U87-MG cells were fixed in 4% paraformaldehyde at RT for 15 min.
Green: MMP2 stained by MMP2 antibody (GTX104577) diluted at 1:500.
Red: alpha Tubulin, a cytoskeleton marker, stained by alpha Tubulin antibody [GT114] (GTX628802) diluted at 1:1000.
Blue: Fluoroshield with DAPI (GTX30920).

4 / 12
Anti-MMP2 antibody used in IHC (Paraffin sections) (IHC-P). GTX104577
GTX104577 IHC-P Image

MMP2 antibody detects MMP2 protein at cytosol on human endometrial carcinoma by immunohistochemical analysis.
Sample: Paraffin-embedded human endometrial carcinoma.
MMP2 antibody (GTX104577) dilution: 1:500.

Antigen Retrieval: Trilogy™ (EDTA based, pH 8.0) buffer, 15min

5 / 12
Anti-MMP2 antibody used in IHC (Paraffin sections) (IHC-P). GTX104577
GTX104577 IHC-P Image

MMP2 antibody detects MMP2 protein at cytosol and nucleus on human breast carcinoma by immunohistochemical analysis.
Sample: Paraffin-embedded human breast carcinoma.
MMP2 antibody (GTX104577) dilution: 1:500.

Antigen Retrieval: Trilogy™ (EDTA based, pH 8.0) buffer, 15min

6 / 12
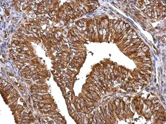
Anti-MMP2 antibody used in IHC (Paraffin sections) (IHC-P). GTX104577
GTX104577 IHC-P Image

MMP2 antibody detects MMP2 protein at extracellular matrix in human colon cancer by immunohistochemical analysis.
Sample: Paraffin-embedded human colon cancer.
MMP2 antibody (GTX104577) diluted at 1:500.

Antigen Retrieval: Citrate buffer, pH 6.0, 15 min

7 / 12
Anti-MMP2 antibody used in IHC (Paraffin sections) (IHC-P). GTX104577
GTX104577 IHC-P Image

MMP2 antibody detects MMP2 protein at cytosol and nucleus on human ovarian carcinoma by immunohistochemical analysis.
Sample: Paraffin-embedded human ovarian carcinoma.
MMP2 antibody (GTX104577) dilution: 1:500.

Antigen Retrieval: Trilogy™ (EDTA based, pH 8.0) buffer, 15min

8 / 12
Anti-MMP2 antibody used in Immunoprecipitation (IP). GTX104577
GTX104577 IP Image

Immunoprecipitation of MMP2 protein from U87-MG whole cell extracts using 5 μg of MMP2 antibody (GTX104577).
Western blot analysis was performed using MMP2 antibody (GTX104577).
EasyBlot anti-Rabbit IgG (GTX221666-01) was used as a secondary reagent.

9 / 12
Anti-MMP2 antibody used in IHC (Paraffin sections) (IHC-P). GTX104577
GTX104577 IHC-P Image

MMP2 antibody detects MMP2 protein at extracellular matrix in human lung cancer by immunohistochemical analysis.
Sample: Paraffin-embedded human lung cancer.
MMP2 antibody (GTX104577) diluted at 1:500.

Antigen Retrieval: Citrate buffer, pH 6.0, 15 min

10 / 12
Anti-MMP2 antibody used in Western Blot (WB). GTX104577
GTX104577 WB Image

The data was published in the journal Evid Based Complement Alternat Med in 2012.PMID: 23320038

11 / 12
Anti-MMP2 antibody used in Western Blot (WB). GTX104577
GTX104577 WB Image

The data was published in the journal Sci Rep in 2016. PMID: 26813495

12 / 12
Anti-MMP2 antibody used in Western Blot (WB). GTX104577
Anti-MMP2 antibody used in Western Blot (WB). GTX104577
Anti-MMP2 antibody used in Western Blot (WB). GTX104577
Anti-MMP2 antibody used in Immunocytochemistry/ Immunofluorescence (ICC/IF). GTX104577
Anti-MMP2 antibody used in IHC (Paraffin sections) (IHC-P). GTX104577
Anti-MMP2 antibody used in IHC (Paraffin sections) (IHC-P). GTX104577
Anti-MMP2 antibody used in IHC (Paraffin sections) (IHC-P). GTX104577
Anti-MMP2 antibody used in IHC (Paraffin sections) (IHC-P). GTX104577
Anti-MMP2 antibody used in Immunoprecipitation (IP). GTX104577
Anti-MMP2 antibody used in IHC (Paraffin sections) (IHC-P). GTX104577
Anti-MMP2 antibody used in Western Blot (WB). GTX104577
Anti-MMP2 antibody used in Western Blot (WB). GTX104577
  • Host
    Rabbit
  • Clonality
    Polyclonal
  • Isotype
    IgG
  • Applications
    WB ICC/IF IHC-P IHC-Fr IP
  • Reactivity
    Human, Mouse, Rat, Pig
See all MMP2 products