MMP7 antibody, C-term

Cat. No. GTX89487
Cat. No.  GTX89487
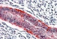
Anti-MMP7 antibody, C-term used in IHC (Paraffin sections) (IHC-P). GTX89487
GTX89487 IHC-P Image

IHC-P analysis of human uterus using GTX89487 MMP7 antibody, C-term.
Antigen retrieval : citrate buffer pH 6
Dilution : 3.8μg/ml

1 / 2
Anti-MMP7 antibody, C-term used in Western Blot (WB). GTX89487
GTX89487 WB Image

WB analysis of human breast lysate using GTX89487 MMP7 antibody, C-term.
Dilution : 0.03μg/ml
Loading : 35μg protein in RIPA buffer

2 / 2
Anti-MMP7 antibody, C-term used in IHC (Paraffin sections) (IHC-P). GTX89487
Anti-MMP7 antibody, C-term used in Western Blot (WB). GTX89487
  • Host
    Goat
  • Clonality
    Polyclonal
  • Isotype
    IgG
  • Applications
    WB IHC-P
  • Reactivity
    Human
See all MMP7 products