MMP9 antibody [HMV4720] HistoMAX™

Cat. No. GTX646000
Cat. No.  GTX646000
Anti-MMP9 antibody [HMV4720] HistoMAX™ used in IHC (Paraffin sections) (IHC-P). GTX646000
GTX646000 IHC-P Image

IHC-P analysis of human ovarian clear cell carcinoma (OCCC) using GTX646000 MMP9 antibody [HMV4720] HistoMAX™.
MMP9 negative clear cell carcinoma with a strong MMP9 positive of numerous inflammatory cells.

1 / 4
Anti-MMP9 antibody [HMV4720] HistoMAX™ used in IHC (Paraffin sections) (IHC-P). GTX646000
GTX646000 IHC-P Image

IHC-P analysis of human tonsil using GTX646000 MMP9 antibody [HMV4720] HistoMAX™.
A weak to moderate MMP9 staining of macrophages-dendritic cells in germinal centres. Strong MMP9 positivity of few granulocytes.

2 / 4
Anti-MMP9 antibody [HMV4720] HistoMAX™ used in IHC (Paraffin sections) (IHC-P). GTX646000
GTX646000 IHC-P Image

IHC-P analysis of human bone marrow using GTX646000 MMP9 antibody [HMV4720] HistoMAX™.
A strong MMP9 positivity of granulocytes and their precursor cells.

3 / 4
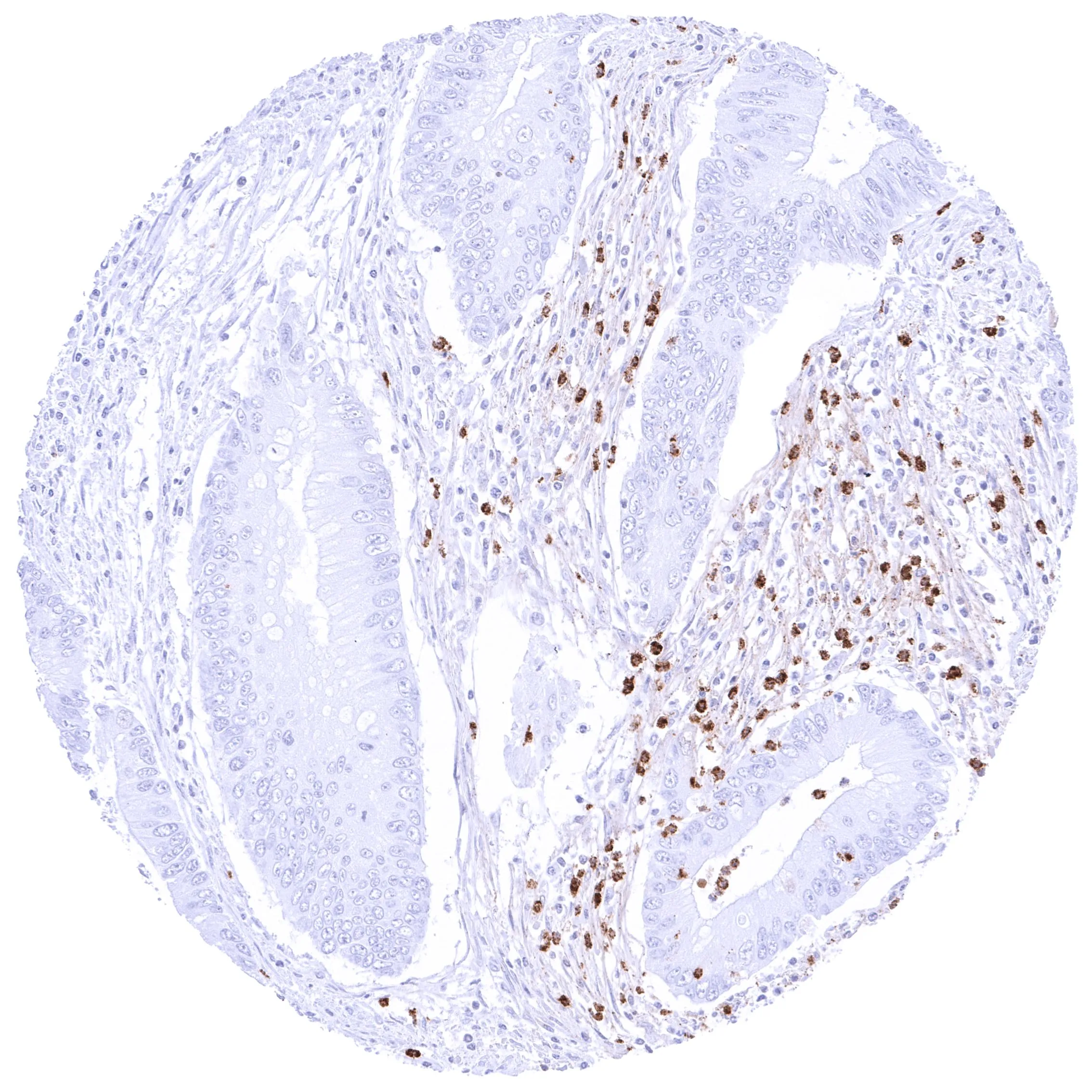
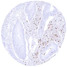
Anti-MMP9 antibody [HMV4720] HistoMAX™ used in IHC (Paraffin sections) (IHC-P). GTX646000
GTX646000 IHC-P Image

IHC-P analysis of human colorectal adenocarcinoma (COAD) using GTX646000 MMP9 antibody [HMV4720] HistoMAX™.

4 / 4
Anti-MMP9 antibody [HMV4720] HistoMAX™ used in IHC (Paraffin sections) (IHC-P). GTX646000
Anti-MMP9 antibody [HMV4720] HistoMAX™ used in IHC (Paraffin sections) (IHC-P). GTX646000
Anti-MMP9 antibody [HMV4720] HistoMAX™ used in IHC (Paraffin sections) (IHC-P). GTX646000
Anti-MMP9 antibody [HMV4720] HistoMAX™ used in IHC (Paraffin sections) (IHC-P). GTX646000
  • Host
    Rabbit
  • Clonality
    Monoclonal
  • Clone Name
    HMV4720
  • Isotype
    IgG
  • Applications
    IHC-P
  • Reactivity
    Human
See all MMP9 products