MOCS2 antibody [N1C3]

Cat. No. GTX114554
Cat. No.  GTX114554
Anti-MOCS2 antibody [N1C3] used in Western Blot (WB). GTX114554
GTX114554 WB Image

Sample (30 ug of whole cell lysate)
A: Hela
12% SDS PAGE
GTX114554 diluted at 1:5000

1 / 2
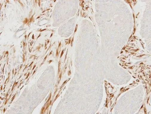
Anti-MOCS2 antibody [N1C3] used in IHC (Paraffin sections) (IHC-P). GTX114554
GTX114554 IHC-P Image

Immunohistochemical analysis of paraffin-embedded human Fibroblast, using MOCS2(GTX114554) antibody at 1:500 dilution.
Antigen Retrieval: Trilogy™ (EDTA based, pH 8.0) buffer, 15min

2 / 2
Anti-MOCS2 antibody [N1C3] used in Western Blot (WB). GTX114554
Anti-MOCS2 antibody [N1C3] used in IHC (Paraffin sections) (IHC-P). GTX114554
  • Host
    Rabbit
  • Clonality
    Polyclonal
  • Isotype
    IgG
  • Applications
    WB IHC-P
  • Reactivity
    Human
See all MOCS2 products