MOCS3 antibody

Cat. No. GTX55710
Cat. No.  GTX55710
Anti-MOCS3 antibody used in Western Blot (WB). GTX55710
GTX55710 WB Image

WB analysis of various sample lysates using GTX55710 MOCS3 antibody.
Dilution : 1:1000
Loading : 25μg per lane

1 / 3
Anti-MOCS3 antibody used in Immunocytochemistry/ Immunofluorescence (ICC/IF). GTX55710
GTX55710 ICC/IF Image

ICC/IF analysis of A549 cells using GTX55710 MOCS3 antibody.
Blue : DAPI

2 / 3
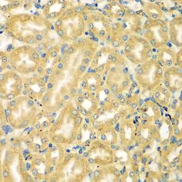
Anti-MOCS3 antibody used in IHC (Paraffin sections) (IHC-P). GTX55710
GTX55710 IHC-P Image

IHC-P analysis of mouse kidney tissue using GTX55710 MOCS3 antibody.
Dilution : 1:100

3 / 3
Anti-MOCS3 antibody used in Western Blot (WB). GTX55710
Anti-MOCS3 antibody used in Immunocytochemistry/ Immunofluorescence (ICC/IF). GTX55710
Anti-MOCS3 antibody used in IHC (Paraffin sections) (IHC-P). GTX55710
  • Host
    Rabbit
  • Clonality
    Polyclonal
  • Isotype
    IgG
  • Applications
    WB ICC/IF IHC-P
  • Reactivity
    Human, Mouse
See all MOCS3 products